Skip to main page content
U.S. flag

An official website of the United States government

Dot gov

The .gov means it’s official.
Federal government websites often end in .gov or .mil. Before sharing sensitive information, make sure you’re on a federal government site.

Https

The site is secure.
The https:// ensures that you are connecting to the official website and that any information you provide is encrypted and transmitted securely.

Access keys NCBI Homepage MyNCBI Homepage Main Content Main Navigation
Review
. 2007 Dec;60(12):1365-72.
doi: 10.1136/jcp.2007.051953.

HIV infection and lymphoma

Affiliations
Review

HIV infection and lymphoma

K L Grogg et al. J Clin Pathol. 2007 Dec.

Abstract

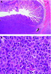
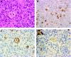
The incidence of lymphoma in patients with HIV infection greatly exceeds that of the general population. The increased risk for lymphoma appears related to multiple factors, including the transforming properties of the retrovirus itself, the immunosuppression and cytokine dysregulation that results from the disease, and, most importantly, opportunistic infections with other lymphotrophic herpes viruses such as Epstein-Barr virus and human herpesvirus 8. Histologically lymphomas fall into three groups: (1) those also occurring in immunocompetent patients; (2) those occurring more specifically in HIV-positive patients; and (3) those also occurring in patients with other forms of immunosuppression. Aggressive lymphomas account for the vast majority cases. They frequently present with advanced stage, bulky disease with high tumour burden and, typically, involve extranodal sites. Clinical outcome appears to be worse than in similar aggressive lymphomas in the general population. However, following the introduction of highly active antiretroviral therapy, the risk for developing lymphoma in the context of HIV infection has decreased and the clinical outcome has improved.

PubMed Disclaimer

Conflict of interest statement

Competing interests: None declared.

References

    1. Raphael M, Borisch B, Jaffe E. Lymphomas associated with infection by the human immune deficiency virus (HIV). In: Jaffe E, Harris N, Stein H, Vardiman J, eds. World Health Organization classification of tumours, pathology and genetics of tumours of haematopoietic and lymphoid tissues. Lyon, France: IARC Press, 2001260–263.
    1. Biggar R, Curtis R, Cote T.et al Risk of other cancers following Kaposi's relation to acquired immunodeficiency syndrome. Am J Epidemiol 1994139362–368. - PubMed
    1. Rabkin C. Epidemiology of AIDS‐related malignancies. Curr Opin Oncol 19946492–496. - PubMed
    1. Berel V, Peterman T, Berkelman R.et al AIDS‐associated non‐Hodgkin's lymphoma. Lancet 1991337805–809. - PubMed
    1. Wilde J, Lee C, Darby S.et al The incidence of lymphoma in the UK haemophilia population between 1978 and 1999. AIDS 2002161803–1807. - PubMed

MeSH terms