Ipilimumab (anti-CTLA4 antibody) causes regression of metastatic renal cell cancer associated with enteritis and hypophysitis
- PMID: 18049334
- PMCID: PMC2134980
- DOI: 10.1097/CJI.0b013e318156e47e
Ipilimumab (anti-CTLA4 antibody) causes regression of metastatic renal cell cancer associated with enteritis and hypophysitis
Abstract
The inhibitory receptor CTLA4 has a key role in peripheral tolerance of T cells for both normal and tumor-associated antigens. Murine experiments suggested that blockade of CTLA4 might have antitumor activity and a clinical experience with the blocking antibody ipilimumab in patients with metastatic melanoma did show durable tumor regressions in some patients. Therefore, a phase II study of ipilimumab was conducted in patients with metastatic renal cell cancer with a primary end point of response by Response Evaluation Criteria in Solid Tumors (RECIST) criteria. Two sequential cohorts received either 3 mg/kg followed by 1 mg/kg or all doses at 3 mg/kg every 3 weeks (with no intention of comparing cohort response rates). Major toxicities were enteritis and endocrine deficiencies of presumed autoimmune origin. One of 21 patients receiving the lower dose had a partial response. Five of 40 patients at the higher dose had partial responses (95% confidence interval for cohort response rate 4% to 27%) and responses were seen in patients who had previously not responded to IL-2. Thirty-three percent of patients experienced a grade III or IV immune-mediated toxicity. There was a highly significant association between autoimmune events (AEs) and tumor regression (response rate=30% with AE, 0% without AE). CTLA4 blockade with ipilimumab induces cancer regression in some patients with metastatic clear cell renal cancer, even if they have not responded to other immunotherapies. These regressions are highly associated with other immune-mediated events of presumed autoimmune origin by mechanisms as yet undefined.
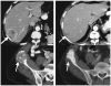
Figures
References
-
- Salomon B, Bluestone JA. Complexities of CD28/B7: CTLA-4 costimulatory pathways in autoimmunity and transplantation. Annu Rev Immunol. 2001;19:225–252. - PubMed
-
- Greenwald RJ, Freeman GJ, Sharpe AH. The B7 family revisited. Annu Rev Immunol. 2005;23:515–548. - PubMed
-
- Schwartz RH. Costimulation of T lymphocytes: the role of CD28, CTLA-4, and B7/BB1 in interleukin-2 production and immunotherapy. Cell. 1992;71:1065–1068. - PubMed
-
- Saito T, Yamasaki S. Negative feedback of T cell activation through inhibitory adapters and costimulatory receptors. Immunol Rev. 2003;92:143–160. - PubMed
-
- Okazaki T, Iwai Y, Honjo T. New regulatory co-receptors: inducible co-stimulator and PD-1. Curr Opin Immunol. 2002;14:779–782. - PubMed
Publication types
MeSH terms
Substances
Grants and funding
LinkOut - more resources
Full Text Sources
Other Literature Sources
Medical
