Fission yeast mitogen-activated protein kinase Sty1 interacts with translation factors
- PMID: 18065650
- PMCID: PMC2238150
- DOI: 10.1128/EC.00358-07
Fission yeast mitogen-activated protein kinase Sty1 interacts with translation factors
Abstract
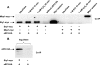
Signaling by stress-activated mitogen-activated protein kinase (MAPK) pathways influences translation efficiency in mammalian cells and budding yeast. We have investigated the stress-activated MAPK from fission yeast, Sty1, and its downstream protein kinase, Mkp1/Srk1, for physically associated proteins using tandem affinity purification tagging. We find Sty1, but not Mkp1, to bind to the translation elongation factor eukaryotic elongation factor 2 (eEF2) and the translation initiation factor eukaryotic initiation factor 3a (eIF3a). The Sty1-eIF3a interaction is weakened under oxidative or hyperosmotic stress, whereas the Sty1-eEF2 interaction is stable. Nitrogen deprivation causes a transient strengthening of both the Sty1-eEF2 and the Sty1-Mkp1 interactions, overlapping with the time of maximal Sty1 activation. Analysis of polysome profiles from cells under oxidative stress, or after hyperosmotic shock or nitrogen deprivation, shows that translation in sty1 mutant cells recovers considerably less efficiently than that in the wild type. Cells lacking the Sty1-regulated transcription factor Atf1 are deficient in maintaining and recovering translational activity after hyperosmotic shock but not during oxidative stress or nitrogen starvation. In cells lacking Sty1, eIF3a levels are decreased, and phosphorylation of eIF3a is reduced. Taken together, our data point to a central role in translational adaptation for the stress-activated MAPK pathway in fission yeast similar to that in other investigated eukaryotes, with the exception that fission yeast MAPK-activated protein kinases seem not to be directly involved in this process.
Figures









References
-
- Alemany, V., M. Sanchez-Piris, O. Bachs, and R. Aligue. 2002. Cmk2, a novel serine/threonine kinase in fission yeast. FEBS Lett. 52479-86. - PubMed
-
- Anand, M., K. Chakraburtty, M. J. Marton, A. G. Hinnebusch, and T. G. Kinzy. 2003. Functional interactions between yeast translation eukaryotic elongation factor (eEF) 1A and eEF3. J. Biol. Chem. 2786985-6991. - PubMed
-
- Asp, E., and P. Sunnerhagen. 2003. Mkp1 and Mkp2, two MAPKAP-kinase homologues in Schizosaccharomyces pombe, interact with the MAP kinase Sty1. Mol. Genet. Genomics 268585-597. - PubMed
-
- Bilsland, E., C. Molin, S. Swaminathan, A. Ramne, and P. Sunnerhagen. 2004. Rck1 and Rck2 MAPKAP kinases and the HOG pathway are required for oxidative stress resistance. Mol. Microbiol. 531743-1756. - PubMed
Publication types
MeSH terms
Substances
LinkOut - more resources
Full Text Sources
Molecular Biology Databases
Miscellaneous