Intermittent gastric outlet obstruction due to a gallstone migrated through a cholecysto-gastric fistula: a new variant of "Bouveret's syndrome"
- PMID: 18176974
- PMCID: PMC2673376
- DOI: 10.3748/wjg.14.125
Intermittent gastric outlet obstruction due to a gallstone migrated through a cholecysto-gastric fistula: a new variant of "Bouveret's syndrome"
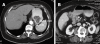
Abstract
Bouveret's syndrome, defined as gastric outlet obstruction due to a large gallstone, is still one of the most dramatic biliary gallstone complications. Although new radiological and endoscopic techniques have made pre-surgical diagnosis possible in most cases and the death rate has dropped dramatically, "one-stage surgery" (biliary surgery carried out at the same time as the removal of the gut obstruction) should be still considered as the gold standard for the treatment of gallstone ileus.In this case, partial gastric outlet obstruction resulted in an atypical and insidious clinical presentation that allowed us to perform the conventional one-stage laparatomic procedure that completely solved the problem, thus avoiding any further complications.
Figures





Comment in
-
Another new variant of Bouveret's syndrome.World J Gastroenterol. 2009 Jan 21;15(3):378-9. doi: 10.3748/wjg.15.378. World J Gastroenterol. 2009. PMID: 19140242 Free PMC article.
References
-
- Haris HW. Biliary System. In: Norton JA, Thompson RW, editors. Surgery Basic Science and Clinical Evidence. New York: Springer-Verlag; 2001. pp. 553–584.
-
- Ahrendt SA, Pitt HA, Biliary tract, In: Townsend CM Jr, Editor-in-Chief. Sabiston Textbook of surgery, The Biological Basis of Modern Surgical Practice. Section X. Abdomen. 16th ed. Philadelphia: W.B. Saunders Company; 2001. pp. 1076–1111.
-
- Salah-Eldin AA, Ibrahim MA, Alapati R, Muslah S, Schubert TT, Schuman BM. The Bouveret syndrome: an unusual cause of hematemesis. Henry Ford Hosp Med J. 1990;38:52–54. - PubMed
-
- Abou-Saif A, Al-Kawas FH. Complications of gallstone disease: Mirizzi syndrome, cholecystocholedochal fistula, and gallstone ileus. Am J Gastroenterol. 2002;97:249–254. - PubMed
-
- Bortoff GA, Chen MY, Ott DJ, Wolfman NT, Routh WD. Gallbladder stones: imaging and intervention. Radiographics. 2000;20:751–766. - PubMed
Publication types
MeSH terms
LinkOut - more resources
Full Text Sources