Skip to main page content
U.S. flag

An official website of the United States government

Dot gov

The .gov means it’s official.
Federal government websites often end in .gov or .mil. Before sharing sensitive information, make sure you’re on a federal government site.

Https

The site is secure.
The https:// ensures that you are connecting to the official website and that any information you provide is encrypted and transmitted securely.

Access keys NCBI Homepage MyNCBI Homepage Main Content Main Navigation
. 2008 May;29(5):924-30.
doi: 10.3174/ajnr.A0960. Epub 2008 Feb 13.

Posterior reversible encephalopathy syndrome after solid organ transplantation

Affiliations

Posterior reversible encephalopathy syndrome after solid organ transplantation

W S Bartynski et al. AJNR Am J Neuroradiol. 2008 May.

Abstract

Background and purpose: Posterior reversible encephalopathy syndrome (PRES) is known to occur after solid organ transplantation (SOT), potentially associated with cyclosporine and tacrolimus. In this study, we assess the frequency and clinical and imaging characteristics of PRES after SOT.

Materials and methods: We identified 27 patients (13 men and 14 women; age range, 22-72 years) who developed PRES after SOT. Features noted included SOT subtype, incidence and timing of PRES, infection and rejection, mean arterial pressure (MAP), and toxicity brain edema.

Results: PRES developed in 21 (0.49%) of 4222 patients who underwent transplantation within the study period (no significant difference among SOT subtypes). Transplantation was performed in 5 patients before the study period, and 1 patient underwent transplantation elsewhere. In consideration of all 27 patients, PRES typically developed in the first 2 months in patients who had SOT of the liver (9 of 10 patients) and was associated with cytomegalovirus (CMV), mild rejection, or systemic bacterial infection. PRES also typically developed after 1 year in patients who had SOT of the kidney (8 of 9 patients) and was associated with moderate rejection or bacterial infection. Toxicity MAP was significantly lower (P < .001) in liver transplants (average MAP, 104.8 +/- 16 mm Hg) compared with that in kidney transplants (average MAP, 143 +/- 20 mm Hg). Toxicity brain edema was significantly greater (P < .001) in patients who had liver transplants and developed PRES compared with patients who had undergone kidney transplants despite severe hypertension in those who had the kidney transplants.

Conclusion: Patients who had undergone SOTs have a similar low incidence of developing PRES. Differences between those who have had liver and kidney transplants included time after transplant, toxicity MAP, and PRES vasogenic edema noted at presentation. In patients who have undergone kidney transplants, severely elevated MAP was associated with reduced, not greater, brain edema.

PubMed Disclaimer

Figures

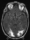
Fig 1.
Fig 1.
Patient 1 is a 73-year-old man who developed altered mental status 11 days after orthotopic liver transplant for cholangitis and cirrhosis with blood pressure at toxicity of 140/76 mm Hg. Mild organ rejection was being treated with increased immune suppression (trough tacrolimus level minimally elevated: 21 ng/mL), and intercurrent blood culture results were positive for coagulase-negative Staphylococcus. MR imaging (FLAIR sequence) obtained at toxicity demonstrates cortex and deep WM vasogenic edema in the occipital region bilaterally (open arrows) judged Edema grade 3. Follow-up MR imaging 1 month later demonstrated complete resolution of the vasogenic edema.
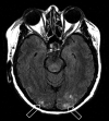
Fig 2.
Fig 2.
Patient 21 is a 59-year-old woman who developed altered mental status, loss of consciousness, and severe hypertension (220/100 mm Hg) 17 months after cadaveric renal transplant for hypertension-related chronic renal failure. She was being managed for mild organ rejection just before toxicity. MR imaging (FLAIR sequence) obtained at toxicity demonstrates primarily cortical vasogenic edema in the occipital poles bilaterally (open arrows) judged Edema grade 1. Follow-up MR imaging 3 days later demonstrated resolution of the vasogenic edema.

References

    1. Truwit CL, Denaro CP, Lake JR, et al. MR imaging of reversible cyclosporin A-induced neurotoxicity. AJNR Am J Neuroradiol 1991;12:651–59 - PMC - PubMed
    1. Bartynski WS, Grabb BC, Zeigler Z, et al. Watershed imaging features and clinical vascular injury in cyclosporin A neurotoxicity. J Comput Assist Tomogr 1997;21:872–80 - PubMed
    1. Bartynski WS, Zeigler Z, Spearman MP, et al. Etiology of cortical and white matter lesions in cyclosporin-A and FK-506 neurotoxicity. AJNR Am J Neuroradiol 2001;22:1901–14 - PMC - PubMed
    1. Covarrubias DJ, Luetmer PH, Campeau NG. Posterior reversible encephalopathy syndrome: prognostic utility of quantitative diffusion-weighted MR images. AJNR Am J Neuroradiol 2002;23:1038–48 - PMC - PubMed
    1. Hinchey J, Chaves C, Appignani B, et al. A reversible posterior leukoencephalopathy syndrome. N Engl J Med 1996;334:494–500 - PubMed