Liver histology in ICU patients dying from sepsis: a clinico-pathological study
- PMID: 18322953
- PMCID: PMC2693687
- DOI: 10.3748/wjg.14.1389
Liver histology in ICU patients dying from sepsis: a clinico-pathological study
Abstract
Aim: To determine end-stage pathologic changes in the liver of septic patients dying in the intensive care unit.
Methods: Needle liver biopsies obtained immediately after death from 15 consecutive patients with sepsis and no underlying liver disease were subjected to routine histological examination. Liver function tests and clinical monitoring measurements were also recorded.
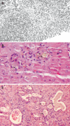
Results: Liver biochemistries were increased in the majority of patients before death. Histology of liver biopsy specimens showed portal inflammation in 73.3%, centrilobular necrosis in 80%, lobular inflammation in 66.7%, hepatocellular apoptosis in 66.6% and cholangitis/cholangiolitis in 20% of patients. Mixed hepatitic/cholestatic type of liver injury was observed in 6/15 (40%) patients and hepatitc in 9/15 (60%). Steatosis was observed in 11/15 (73.3%) patients affecting 5%-80% of liver parenchyma. Among the histological features, the presence of portal inflammation in liver biopsy was associated with increased hospitalization in the ICU prior death (P=0.026).
Conclusion: Features of hepatitis and steatosis are the main histological findings in the liver in the majority of patients dying from sepsis.
Figures
References
-
- Jacobi J. Pathophysiology of sepsis. Am J Health Syst Pharm. 2002;59 Suppl 1:S3–S8. - PubMed
-
- Vermillion SE, Gregg JA, Baggenstoss AH, Bartholomew LG. Jaundice associated with bacteremia. Arch Intern Med. 1969;124:611–618. - PubMed
-
- Pastor CM, Billiar TR, Losser MR, Payen DM. Liver injury during sepsis. J Crit Care. 1995;10:183–197. - PubMed
-
- Bone RC, Fisher CJ Jr, Clemmer TP, Slotman GJ, Metz CA, Balk RA. Sepsis syndrome: a valid clinical entity. Methylprednisolone Severe Sepsis Study Group. Crit Care Med. 1989;17:389–393. - PubMed
MeSH terms
LinkOut - more resources
Full Text Sources
Medical
