Skip to main page content
U.S. flag

An official website of the United States government

Dot gov

The .gov means it’s official.
Federal government websites often end in .gov or .mil. Before sharing sensitive information, make sure you’re on a federal government site.

Https

The site is secure.
The https:// ensures that you are connecting to the official website and that any information you provide is encrypted and transmitted securely.

Access keys NCBI Homepage MyNCBI Homepage Main Content Main Navigation
. 2008 Mar;14(3):461-4.
doi: 10.3201/eid1403.070643.

Transmission of equine influenza virus to English foxhounds

Affiliations

Transmission of equine influenza virus to English foxhounds

Janet M Daly et al. Emerg Infect Dis. 2008 Mar.

Abstract

We retrospectively demonstrated that an outbreak of severe respiratory disease in a pack of English foxhounds in the United Kingdom in September 2002 was caused by an equine influenza A virus (H3N8). We also demonstrated that canine respiratory tissue possesses the relevant receptors for infection with equine influenza virus.

PubMed Disclaimer

Figures

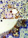
Figure 1
Figure 1
Immunohistochemical staining for equine influenza A virus (brown stain) in sections of respiratory tissue from English foxhounds involved in 2002 respiratory disease outbreak, United Kingdom. A) Case 1, showing focal staining of an apparently necrotic bronchiole in an area of pneumonia; magnification x100. B) Case 2, showing a large amount of staining throughout the epithelium and inflammatory cells present in the brush border; magnification x200; hematoxylin counterstain.
Figure 2
Figure 2
Lectin staining for α2,3 sialic acid linkages on A) equine trachea and B) canine trachea; magnification x200; cell nuclei counterstained with Hoechst 33342 solution.

References

    1. Crawford PC, Dubovi EJ, Castleman WL, Stephenson I, Gibbs EP, Chen L, et al. Transmission of equine influenza virus to dogs. Science. 2005;310:482–5. 10.1126/science.1117950 - DOI - PubMed
    1. Wood JM, Mumford J, Folkers C, Scott AM, Schild GC. Studies with inactivated equine influenza vaccine. 1. Serological responses of ponies to graded doses of vaccine. J Hyg (Lond). 1983;90:371–84. - PMC - PubMed
    1. Daly JM, Whitwell KE, Miller J, Dowd G, Cardwell JM, Smith KC. Investigation of equine influenza cases exhibiting neurological disease: coincidence or association? J Comp Pathol. 2006;134:231–5. 10.1016/j.jcpa.2005.09.001 - DOI - PubMed
    1. Antonov J, Goldstein DR, Oberli A, Baltzer A, Pirotta M, Fleischmann A, et al. Reliable gene expression measurements from degraded RNA by quantitative real-time PCR depend on short amplicons and a proper normalization. Lab Invest. 2005;85:1040–50. 10.1038/labinvest.3700303 - DOI - PubMed
    1. Daly JM, Lai ACK, Binns MM, Chambers TM, Barrandeguy M, Mumford JA. Antigenic and genetic evolution of equine H3N8 influenza A viruses. J Gen Virol. 1996;77:661–71. - PubMed

Publication types

LinkOut - more resources