Radiofrequency ablation in pancreatic cancer
- PMID: 18333241
- PMCID: PMC2131369
- DOI: 10.1080/13651820500466673
Radiofrequency ablation in pancreatic cancer
Abstract
Introduction and aim: Radiofrequency ablation (RFA) is effective in the treatment of unresectable hepatic tumors and promising results have also been described in tumors of kidney, lung, brain, prostate, and breast. The radiofrequency destruction of solid pancreatic tumors sounds logical but also seems risky due to the friable pancreatic parenchyma, the fear of pancreatitis and the prejudiced myth of 'the pancreas is not your friend'.
Patients and methods: We present our initial experience and we describe our technique during intraoperative RFA in four patients with locally advanced and unresectable pancreatic adenocarcinoma (head of pancreas, three; body-tail, one; diameter, 3-12 cm). In all the patients, the RFA was followed by bypass palliative procedures (cholecystojejunostomy and Brown's anastomosis and/or gastrojejunostomy). A drainage tube was left close to the ablated area. Serum amylase and fluid amylase (drain) were measured for 5-7 days postoperatively. Sandostatin was also administered prophylactically for 3-5 days.
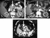
Results: The postoperative period was uneventful in all the patients, without complications or evidence of pancreatitis. The post RFA CT scan showed remarkable changes in the density and the characteristics of the tumors in all the patients. All the patients are alive, at 12, 8, 5 and 3 months postoperatively, respectively. In one patient (with cancer of the body of the pancreas) who was receiving morphine because of intolerable pain, significant pain relief has been observed.
Conclusions: From our initial results, RFA seems to be a feasible, potentially safe and promising option in patients with locally advanced and unresectable pancreatic cancer. Nevertheless, larger series of cases are needed to secure our encouraging results.
Figures




References
-
- Wagner M, Friess H, Buchler WM. Conservative versus radical resections of the pancreas, Pancreatic cancer: molecular and clinical advances. In:eds.Oxford: Blackwell Science Ltd. .
-
- Mohiuddin M, Rosato F, Barbot D, Schuricht A, Biermann W, Cantor R. Long term results of combined modality treatment with I-125 implantation for carcinoma of the pancreas. Int J Radiat Oncol Biol Phys. 1992;23:305–11. - PubMed
-
- Bodner RW, Hilaris SB. Brachytherapy and pancreatic cancer. Semin Surg Oncol. 1997;13:204–7. - PubMed
-
- Nori D, Merimsky O, Osian A, Heffeman M, Cortes E, Turner JW. Palladium-103: a new radioactive source in the treatment of unresectable carcinoma of the pancreas: a phase I-II study. J Surg Oncol. 1996;61:300–5. - PubMed
LinkOut - more resources
Full Text Sources
Other Literature Sources
Medical