Bile duct cyst type V (Caroli's disease): surgical strategy and results
- PMID: 18345305
- PMCID: PMC2215397
- DOI: 10.1080/13651820701329258
Bile duct cyst type V (Caroli's disease): surgical strategy and results
Abstract
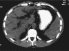
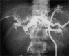
Background: Caroli's disease (CD) is a benign congenital disorder characterized by segmental cystic dilatation of the intrahepatic biliary ducts. Therapeutic strategy includes medical treatment, percutaneous, endoscopic or surgical drainage of the affected bile ducts, liver resection or transplantation. The aim of this study was to analyse the results and long-term follow-up of a consecutive series of patients who underwent surgical treatment for CD.
Patients and methods: Between 1995 and 2005, 10 patients were surgically treated for CD. Variables evaluated were: age, gender, clinical presentation, diagnostic procedures, percutaneous and surgical treatments, histopathological analysis and outcome.
Results: The average age of the patients was 45.8 years. Recurrent cholangitis was the main clinical manifestation (70%). In unilateral CD a liver resection was performed in nine patients (left lateral sectionectomy in seven, left hepatectomy in one and right hepatectomy in one). In bilateral disease a cholecystectomy, duct exploration, hepaticojejunostomy and liver biopsy of both lobes were performed. Average follow-up was 60 months. All the patients are alive and free of symptoms without recurrence in the remnant liver.
Discussion: Liver resection is the preferred therapeutic option for unilateral CD, demonstrating good results in long-term follow-up. In bilateral disease, hepaticojejunostomy could be considered as an alternative or a previous step to liver transplantation, which still remains the ultimate option.
Keywords: Caroli's disease; Caroli's syndrome; bile duct cyst type V; liver surgery.
Figures



References
-
- Todani T, Watanabe Y, Narusue M, Tabuchi K, Okajima K. Congenital bile duct cysts: Classification, operative procedures, and review of thirty-seven cases including cancer arising from choledochal cyst. Am J Surg. 1977;134:263–9. - PubMed
-
- Caroli J, Soupault R, Kossakowski J, Plocker L, Paradowska [Congenital polycystic dilation of the intrahepatic bile ducts; attempt at classification] Sem Hop. 1958;34:488–95/SP. - PubMed
-
- Caroli J, Couinaud C, Soupault R, Porcher P, Eteve J. [A new disease, undoubtedly congenital, of the bile ducts: unilobar cystic dilation of the hepatic ducts] Sem Hop. 1958;34:496–502/SP. - PubMed
-
- Madjov R, Chervenkov P, Madjova V, Balev B. Caroli's disease. Report of 5 cases and review of literature. Hepatogastroenterology. 2005;52:606–9. - PubMed
-
- Desmet VJ. Ludwig symposium on biliary disorders – part I. Pathogenesis of ductal plate abnormalities. Mayo Clin Proc. 1998;73:80–9. - PubMed
LinkOut - more resources
Full Text Sources