Diagnosis of pancreaticobiliary malignancy by detection of minichromosome maintenance protein 5 in bile aspirates
- PMID: 18414413
- PMCID: PMC2391096
- DOI: 10.1038/sj.bjc.6604342
Diagnosis of pancreaticobiliary malignancy by detection of minichromosome maintenance protein 5 in bile aspirates
Abstract
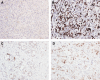
Biliary brush cytology is the standard method of sampling a biliary stricture but has a low sensitivity for the detection of malignancy. We have previously shown that minichromosome maintenance (MCM) replication proteins (Mcm2-7) are markers of dysplasia and have utilised these novel biomarkers of growth for the diagnosis of cervical and bladder cancer. We aimed to determine if MCM proteins are dysregulated in malignant pancreaticobiliary disease and if levels in bile are a sensitive marker of malignancy. In 30 tissue specimens from patients with malignant/benign biliary strictures, we studied Mcm2 and -5 expression by immunohistochemistry. Bile samples were also collected prospectively at endoscopic retrograde cholangiopancreatography from 102 consecutive patients with biliary strictures of established (n=42) or indeterminate aetiology (n=60). Patients with indeterminate strictures also underwent brush cytology as part of standard practice. Bile sediment Mcm5 levels were analysed using an automated immunofluorometric assay. In benign biliary strictures, Mcm2 and -5 protein expression was confined to the basal epithelial proliferative compartment - in contrast to malignant strictures where expression was seen in all tissue layers. The percentage of nuclei positive for Mcm2 was higher in malignant tissue (median 76.5%, range 42-92%) than in benign tissue (median 5%, range 0-33%) (P<0.0005), with similar results for Mcm5. Minichromosome maintenance protein 5 levels in bile were significantly more sensitive than brush cytology (66 vs 20%; P=0.004) for the detection of malignancy in patients with an indeterminate stricture, with a comparable positive predictive value (97 vs 100%; P=ns). In this study, we demonstrate that Mcm5 in bile detected by a simple automated test is a more sensitive indicator of pancreaticobiliary malignancy than routine brush cytology.
Figures
References
-
- Baron TH, Harewood GC, Rumalla A, Pochron NL, Stadheim LM, Gores GJ, Therneau TM, De Groen PC, Sebo TJ, Salomao DR, Kipp BR (2004) A prospective comparison of digital image analysis and routine cytology for the identification of malignancy in biliary tract strictures. Clin Gastroenterol Hepatol 2: 214–219 - PubMed
-
- De Bellis M, Sherman S, Fogel EL, Cramer H, Chappo J, McHenry Jr L, Watkins JL, Lehman GA (2002a) Tissue sampling at ERCP in suspected malignant biliary strictures (Part 1). Gastrointest Endosc 56: 552–561 - PubMed
-
- de Bellis M, Sherman S, Fogel EL, Cramer H, Chappo J, McHenry Jr L, Watkins JL, Lehman GA (2002b) Tissue sampling at ERCP in suspected malignant biliary strictures (Part 2). Gastrointest Endosc 56: 720–730 - PubMed
-
- Freeman A, Morris LS, Mills AD, Stoeber K, Laskey RA, Williams GH, Coleman N (1999) Minichromosome maintenance proteins as biological markers of dysplasia and malignancy. Clin Cancer Res 5: 2121–2132 - PubMed
Publication types
MeSH terms
Substances
Grants and funding
LinkOut - more resources
Full Text Sources
Other Literature Sources
Medical
Miscellaneous
