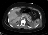
Investigation of blunt abdominal trauma
- PMID: 18436949
- PMCID: PMC2335258
- DOI: 10.1136/bmj.39534.686192.80
Investigation of blunt abdominal trauma
Conflict of interest statement
Competing interests: None declared.
Figures



Comment in
-
Blunt abdominal trauma: Note of caution on diagnostic peritoneal lavage.BMJ. 2008 May 17;336(7653):1086. doi: 10.1136/bmj.39577.450741.3A. BMJ. 2008. PMID: 18483024 Free PMC article. No abstract available.
-
Blunt abdominal trauma: Trauma services must improve.BMJ. 2008 May 31;336(7655):1205. doi: 10.1136/bmj.a168. BMJ. 2008. PMID: 18511771 Free PMC article. No abstract available.
References
-
- Gilroy D. Deaths from blunt trauma, after arrival at hospital: plus ça change, plus c’est la même chose. Injury 2005;36:47-50. - PubMed
-
- Velmahos GC, Toutouzas KG, Radin R, Chan L, Demetriades D. Nonoperative management of blunt injury to solid abdominal organs: a prospective study. Arch Surg 2003;138:844-51. - PubMed
-
- Haan JM, Bocchicchio GV, Kramer N, Scalea TM. Nonoperative management of blunt splenic injury: a 5-year experience. J Trauma 2005;58:492-8. - PubMed
-
- Stein DM, Scalea TM. Nonoperative management of spleen and liver injuries. J Intensive Care Med 2006;21:296-304. - PubMed
-
- Shuman WP, Holtzman SR, Bree RL, Bettman MA, Cascani T, Foley WD, et al. American College of Radiology appropriateness criteria. Blunt abdominal trauma. 2005. www.acr.org/SecondaryMainMenuCategories/quality_safety/app_criteria/pdf/...
Publication types
MeSH terms
LinkOut - more resources
Full Text Sources