Skip to main page content
U.S. flag

An official website of the United States government

Dot gov

The .gov means it’s official.
Federal government websites often end in .gov or .mil. Before sharing sensitive information, make sure you’re on a federal government site.

Https

The site is secure.
The https:// ensures that you are connecting to the official website and that any information you provide is encrypted and transmitted securely.

Access keys NCBI Homepage MyNCBI Homepage Main Content Main Navigation
. 2008 May;14(5):755-62.
doi: 10.3201/eid1405.071312.

Cryptococcus neoformans strains and infection in apparently immunocompetent patients, China

Affiliations

Cryptococcus neoformans strains and infection in apparently immunocompetent patients, China

Jianghan Chen et al. Emerg Infect Dis. 2008 May.

Abstract

To determine the population structure of the cryptococcosis agents in China, we analyzed the genotype of 120 Cryptococcus neoformans and 9 Cryptococcus gattii strains isolated from 1980 through 2006 from cryptococcosis patients residing in 16 provinces of mainland China. A total of 71% (91/129) of the clinical strains isolated from 1985 through 2006 were from patients without any apparent risk factors. Only 8.5% (11/129) were from AIDS patients; the remaining 20.5% (27/129) were from patients with underlying diseases other than HIV infection. One hundred twenty of the 129 isolates were C. neoformans serotype A, mating type MATalpha strains that exhibited an identical M13-based VNI subtype, which was distinguishable from the reference VNI molecular type. The 9 remaining isolates were serotype B, MATalpha strains of C. gattii and portrayed a typical VGI molecular type. Data analyzed from multilocus sequences showed no variation and that these Chinese C. neoformans isolates belong to a cluster that has phylogenetically diverged from the VNI reference strain. Our finding that most cryptococcosis patients in China had no apparent risk factor is in stark contrast with reports from other countries.

PubMed Disclaimer

Figures

Figure 1
Figure 1
Mainland China. The numbers in the boxes represent strains used in this study that were isolated during 1980–2006 from each region.
Figure 2
Figure 2
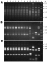
DNA fingerprint patterns of 12 Cryptococcus neoformans strains from China and the molecular type reference strains. A) M13-based PCR pattern. B) URA5 restriction fragment length polymorphism. Lanes: 1, VNI; 2–12, 11 Chinese strains; 13, H99; 14, Chinese strain B-4587; 15, VNBt63; 16, VNI; 17, VNIII; 18, VNII; 19, VNI; 20, marker.
Figure 3
Figure 3
The phylogenetic tree for maximum parsimony analysis composed on the basis of the M13-PCR pattern of 12 Chinese Cryptococcus neoformans strains. Numbers above the branches represent bootstrap support percentages based on 500 replicates. The scale bar represents the inferred number of steps along a branch of the tree.
Figure 4
Figure 4
Genetic relationship of multilocus sequence typing (MLST) genotypes among 94 isolates of Cryptococcus neoformans serotype A (88 strains from Litvintseva et al. [10]) and 6 representative Chinese strains) visualized by the neighbor-joining dendrogram. Numbers on each branch indicate the bootstrap values >50%, based on 500 replicates. Vertical lines represent strains with identical genotypes. Arrows indicate MLST results for Chinese strains.
Figure 5
Figure 5
Virulence in mice. Mice were intranasally infected with 5 × 107 yeast cells from the 3 Chinese Cryptococcus neoformans strains, CHC114, CHC193, and CHC 186, and compared with H99 and the reference strains VNI and VNII for survival.
Figure 6
Figure 6
Comparison of the PCR patterns of 9 Chinese Cryptococcus gattii isolates with reference C. gattii strains. A) M13, B) (GACA)4, C) URA5. Lanes: 1–9, Chinese strains; 10, VGIV; 11, VGIII; 12, VGII; 13, VGI; 14, marker.

References

    1. Kwon-Chung KJ, Varma A. Do major species concepts support one, two or more species within Cryptococcus neoformans? FEMS Yeast Res. 2006;6:574–84. 10.1111/j.1567-1364.2006.00088.x - DOI - PubMed
    1. Kwon-Chung KJ, Bennett JE. Medical mycology. Philadelphia: Lea & Febiger; 1992.
    1. Mitchell TG, Perfect JR. Cryptococcosis in the era of AIDS—100 years after the discovery of Cryptococcus neoformans. Clin Microbiol Rev. 1995;8:515–48. - PMC - PubMed
    1. Litvintseva AP, Thakur R, Reller LB, Mitchell TG. Prevalence of clinical isolates of Cryptococcus gattii serotype C among patients with AIDS in sub-Saharan Africa. Eukaryot Cell. 2005;192:888–92. - PubMed
    1. Meyer W, Marszewska K, Amirmostofian M, Igreja RP, Hardtke C, Methling K, et al. Molecular typing of global isolates of Cryptococcus neoformans var. neoformans by polymerase chain reaction fingerprinting and randomly amplified polymorphic DNA—a pilot study to standardize techniques on which to base a detailed epidemiological survey. Electrophoresis. 1999;20:1790–9. 10.1002/(SICI)1522-2683(19990101)20:8<1790::AID-ELPS1790>3.0.CO;2-2 - DOI - PubMed

Publication types

MeSH terms

Substances

LinkOut - more resources