Arginine deprivation as a targeted therapy for cancer
- PMID: 18473854
- PMCID: PMC3096551
- DOI: 10.2174/138161208784246199
Arginine deprivation as a targeted therapy for cancer
Abstract
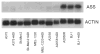
Certain cancers may be auxotrophic for a particular amino acid, and amino acid deprivation is one method to treat these tumors. Arginine deprivation is a novel approach to target tumors which lack argininosuccinate synthetase (ASS) expression. ASS is a key enzyme which converts citrulline to arginine. Tumors which usually do not express ASS include melanoma, hepatocellular carcinoma, some mesotheliomas and some renal cell cancers. Arginine can be degraded by several enzymes including arginine deiminase (ADI). Although ADI is a microbial enzyme from mycoplasma, it has high affinity to arginine and catalyzes arginine to citrulline and ammonia. Citrulline can be recycled back to arginine in normal cells which express ASS, whereas ASS(-) tumor cells cannot. A pegylated form of ADI (ADI-PEG20) has been formulated and has shown in vitro and in vivo activity against melanoma and hepatocellular carcinoma. ADI-PEG20 induces apoptosis in melanoma cell lines. However, arginine deprivation can also induce ASS expression in certain melanoma cell lines which can lead to in vitro drug resistance. Phase I and II clinical trials with ADI-PEG20 have been conducted in patients with melanoma and hepatocellular carcinoma, and antitumor activity has been demonstrated in both cancers. This article reviews our laboratory and clinical experience as well as that from others with ADI-PEG20 as an antineoplastic agent. Future direction in utilizing this agent is also discussed.
Figures









References
Publication types
MeSH terms
Substances
Grants and funding
LinkOut - more resources
Full Text Sources
Other Literature Sources
Miscellaneous