Skip to main page content
U.S. flag

An official website of the United States government

Dot gov

The .gov means it’s official.
Federal government websites often end in .gov or .mil. Before sharing sensitive information, make sure you’re on a federal government site.

Https

The site is secure.
The https:// ensures that you are connecting to the official website and that any information you provide is encrypted and transmitted securely.

Access keys NCBI Homepage MyNCBI Homepage Main Content Main Navigation
. 2008;36(4):316-23.
doi: 10.1515/JPM.2008.067.

Evidence supporting proteolytic cleavage of insulin-like growth factor binding protein-1 (IGFBP-1) protein in amniotic fluid

Affiliations

Evidence supporting proteolytic cleavage of insulin-like growth factor binding protein-1 (IGFBP-1) protein in amniotic fluid

Si Eun Lee et al. J Perinat Med. 2008.

Abstract

Objective: The purpose of this study was to determine if: 1) insulin-like growth factor binding protein-1 (IGFBP-1) in amniotic fluid (AF) exhibited proteolytic cleavage in cases of intra-amniotic inflammation; and 2) if the matrix metalloproteinases (MMP-3, MMP-8, MMP-9) in AF are associated with the degradation of IGFBP-1 in AF.

Methods: AF samples (n=20) were obtained from preterm gestations with and without intra-amniotic inflammation. The form of IGFBP-1 in AF was assessed by Western blot analysis and AF MMP-8 concentration was measured by ELISA. Densitometric analysis of Western blot was performed and the fragmented/intact IGFBP-1 ratio was calculated. Proteolysis of AF IGFBP-1 by MMPs was evaluated by incubating AF with exogenous human MMP-3, MMP-8 or MMP-9, and by incubating recombinant human IGFBP-1 in AF with and without inflammation.

Results: 1) IGFBP-1 was present in AF without inflammation as an intact form; however, the fragmented form was dominant in AF with inflammation; 2) the ratio of fragmented/intact IGFBP-1 was significantly higher in AF with inflammation than in AF without inflammation; 3) a higher ratio of fragmented/intact IGFBP-1 was associated with a higher concentration of MMP-8; 4) in-vitro proteolysis experiments showed that AF IGFBP-1 was degraded by exogenous human MMP-3, MMP-8 and MMP-9; 5) recombinant human IGFBP-1 was fragmented in AF with inflammation, but not in AF without inflammation.

Conclusion: The fragmented form of AF IGFBP-1 was significantly increased in AF with intra-amniotic inflammation, and MMPs produced in AF with intra-amniotic inflammation were associated with the proteolytic change of AF IGFBP-1.

PubMed Disclaimer

Figures

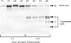
Figure 1
Figure 1
Western blot analysis of amniotic fluid (AF) IGFBP-1 protein; IGFBP-1 was present in AF without inflammation as an intact form of 30 kDa (lane 1–4), however intact form of IGFBP-1 decreased and fragments were seen at 21, 17 and 12 kDa in AF with inflammation (lane 5–8). Representative cases are shown.
Figure 2
Figure 2
Densitometric analysis of amniotic fluid (AF) IGFBP-1 protein; The ratio of fragmented/intact IGFBP-1 was significantly higher in AF with inflammation than that in AF without inflammation (for total fragment: median 0.41 [range, 0.13–0.69] vs median 3.0 [range, 1.17–8.77]; for 21 kDa fragment: median 0.33 [range, 0.13–0.49] vs median 1.57, [range, 0.73–3.75]; for 17 kDa fragment: median 0.05 [range, 0.00–0.15] vs median 0.60, [range, 0.21–3.35]; for 12 kDa fragment: median 0.06 [range, 0.00–0.15] vs median 0.34, [range, 0.17–1.67]. P<0.001, respectively). F/I ratio, IGFBP-1 protein fragmented/intact form ratio by densitometric analysis
Figure 3
Figure 3
Degradation of IGFBP-1 in amniotic fluid (AF) according to the AF MMP-8 concentration; (A) Representative cases are shown: (1)–(2) AF without inflammation and (3)–(7) AF with inflammation. AF with a higher degree of inflammation measured by AF MMP-8 concentration had a higher ratio of fragmented/intact IGFBP-1. (B) Strong correlation is shown between AF MMP-8 concentrations and the ratio of fragmented/intact IGFBP-1 in AF (r=0.86; p<0.001; Spearman rank correlation test). F/I ratio, IGFBP-1 protein fragmented/intact form ratio by densitometric analysis.
Figure 3
Figure 3
Degradation of IGFBP-1 in amniotic fluid (AF) according to the AF MMP-8 concentration; (A) Representative cases are shown: (1)–(2) AF without inflammation and (3)–(7) AF with inflammation. AF with a higher degree of inflammation measured by AF MMP-8 concentration had a higher ratio of fragmented/intact IGFBP-1. (B) Strong correlation is shown between AF MMP-8 concentrations and the ratio of fragmented/intact IGFBP-1 in AF (r=0.86; p<0.001; Spearman rank correlation test). F/I ratio, IGFBP-1 protein fragmented/intact form ratio by densitometric analysis.
Figure 4
Figure 4
rhIGFBP-1 proteolysis in amniotic fluid (AF) without (A) or with (B) inflammation; 100 ng of rhIGFBP-1 was incubated in 10 uL of AFs at 37°C. There was no change in the form of rhIGFBP-1 in AF without inflammation (A). However, intact rhlGFBP-1 (30 kDa) was gradually degraded in AF with inflammation and 12 kDa fragment increased (B). Independent experiments were done on 4 cases of AFs and representative cases were shown.
Figure 5
Figure 5
Proteolysis of amniotic fluid (AF) IGFBP-1 in the presence MMP-3 (B), MMP-9 (C) and MMP-8 (D); 2 uL of AFs were incubated with exogenous human MMP-3, MMP-8 or MMP-9 (enzyme/substrate molar ratio =1:1) in a solution of 50 mM Tris (pH 7.5) containing 150 mM NaCl, 10 mM CaCl2, and 0.05% Triton (final volume 20 uL) at 37°C for 12–24 hours. AF IGFBP-1 was degraded by exogenous human MMP-3, MMP-8 and MMP-9 in a time-dependent manner. However, there was no change in the form of AF IGFBP-1 in the control AF (A).

References

    1. Ananth CV, Vintzileos AM. Epidemiology of preterm birth and its clinical subtypes. J Matern Fetal Neonatal Med. 2006;19(12):773–782. - PubMed
    1. Andrews WW, Hauth JC, Goldenberg RL. Infection and preterm birth. Am J Perinatol. 2000;17:357–365. - PubMed
    1. Angus SR, Segel SY, Hsu CD, Locksmith GJ, Clark P, Sammel MD, et al. Amniotic fluid matrix metalloproteinase-8 indicates intra-amniotic infection. Am J Obstet Gynecol. 2001;185:1232–1238. - PubMed
    1. Anim-Nyame N, Hills FA, Sooranna SR, Steer PJ, Johnson MR. A longitudinal study of maternal plasma insulin-like growth factor binding protein-1 concentrations during normal pregnancy and pregnancies complicated by pre-eclampsia. Hum Reprod. 2000;15(10):2215–2219. - PubMed
    1. Athayde N, Romero R, Gomez R, Maymon E, Pacora P, Mazor M, et al. Matrix metalloproteinases-9 in preterm and term human parturition. J Matern Fetal Med. 1999;8(5):213–219. - PubMed

Substances