Loss of BH3-only protein Bim inhibits apoptosis of hemopoietic cells in the fetal liver and male germ cells but not neuronal cells in bcl-x-deficient mice
- PMID: 18606610
- PMCID: PMC2544614
- DOI: 10.1369/jhc.2008.951749
Loss of BH3-only protein Bim inhibits apoptosis of hemopoietic cells in the fetal liver and male germ cells but not neuronal cells in bcl-x-deficient mice
Abstract
Members of the Bcl-2 family include pro- and antiapoptotic proteins that regulate programmed cell death of developing tissues and death in response to cellular damage. In developing mice, the antiapoptotic Bcl-x(L) is necessary for survival of neural and hematopoietic cells, and consequently, bcl-x-deficient mice die around Day 13.5 of embryogenesis. Furthermore, adult bcl-x(+/-) heterozygous male mice have reduced fertility because of testicular degeneration. Bax, a multi-BH (Bcl-2 homology) domain proapoptotic member of the Bcl-2 family, is regulated by Bcl-x(L) and is required for the neuropathological abnormalities seen in bcl-x-deficient embryos. The BH3 domain only subgroup of the Bcl-2 family includes proapoptotic members that are essential for the initiation of apoptotic signaling. In this study, we investigated the role for Bim, a BH3 domain only protein, in the embryonic lethality and increased developmental cell death in bcl-x-deficient animals and the perturbed testicular function in bcl-x(+/-) adults. Our studies show that bim deficiency attenuates hematopoietic cell death in the fetal liver of bcl-x-deficient animals, indicating that Bim contributes to programmed cell death in this cell population. In addition, we found that testicular degeneration of adult bcl-x(+/-) males was rescued by concomitant Bim deficiency. However, concomitant Bim deficiency had no effect on the embryonic lethality and widespread nervous system abnormalities caused by bcl-x deficiency. Our work identifies Bim as an important regulator of bcl-x deficiency-induced cell death during hematopoiesis and testicular development.
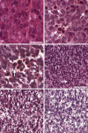
Figures
References
-
- Akhtar RS, Roth KA (2006) Regulation of neural stem cell death. In Rao MS, ed. Neural Development and Stem Cells. Totowa, NJ, Humana Press, 97–122
-
- Biswas SC, Greene LA (2002) Nerve growth factor (NGF) down-regulates the Bcl-2 homology 3 (BH3) domain-only protein Bim and suppresses its proapoptotic activity by phosphorylation. J Biol Chem 277:49511–49516 - PubMed
-
- Bouillet P, Cory S, Zhang LC, Strasser A, Adams JM (2001) Degenerative disorders caused by Bcl-2 deficiency prevented by loss of its BH3-only antagonist bim. Dev Cell 1:645–653 - PubMed
-
- Bouillet P, Metcalf D, Huang DCS, Tarlinton DM, Kay TWH, Kontgen F, Adams JM, et al. (1999) Proapoptotic Bcl-2 relative bim required for certain apoptotic responses, leukocyte homeostasis, and to preclude autoimmunity. Science 286:1735–1738 - PubMed
Publication types
MeSH terms
Substances
Grants and funding
LinkOut - more resources
Full Text Sources
Medical
Molecular Biology Databases
Research Materials
