Computed tomographic distinction of perirenal liposarcoma from exophytic angiomyolipoma: a feature analysis study
- PMID: 18664840
- PMCID: PMC2748260
- DOI: 10.1097/RCT.0b013e3181507534
Computed tomographic distinction of perirenal liposarcoma from exophytic angiomyolipoma: a feature analysis study
Abstract
Purpose: To identify computed tomographic (CT) findings that distinguish perirenal liposarcomas from exophytic angiomyolipomas.
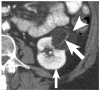
Materials and methods: We identified CT scans of 20 patients (13 women and 7 men; mean age, 63 years) with either perirenal liposarcoma (n = 11) proven at histopathology or large exophytic angiomyolipomas (n = 9) determined by 2-year stability (n = 6) or histopathology (n = 3). Two independent readers unaware of the final diagnoses recorded the presence of the following CT findings: (1) tumoral vessel extending into the renal cortex, (2) tumoral vessel extending into the renal hilum, (3) renal parenchymal defect at the site of tumor contact, (4) intratumoral hemorrhage, (5) nonfat attenuating intratumoral nodules, and (6) calcification.
Results: A tumoral vessel extending into the renal cortex was seen only in angiomyolipomas (7 and 6 of 9 patients versus 0 and 0 of 11 liposarcomas for readers 1 and 2, respectively; P < 0.005 for both). A parenchymal defect was more commonly seen in angiomyolipomas (7 and 6 of 9 angiomyolipomas versus 1 and 1 of 11 liposarcomas for readers 1 and 2, respectively; P < 0.05 for both). Calcifications were seen by both readers in 6 of 11 liposarcomas but not in any angiomyolipomas (P < 0.05). The other recorded findings were not useful in distinguishing CT features (P > 0.1 for both readers).
Conclusions: In the evaluation of a fatty perinephric mass at CT, the presence of a tumoral vessel extending into the renal cortex or a renal parenchymal defect at the site of tumor contact strongly favors the diagnosis of exophytic angiomyolipoma, whereas calcifications suggest liposarcoma.
Figures






References
-
- Karanikas I, Liakakos T, Koundourakis S, et al. Surgical management of primary retroperitoneal liposarcomas. Acta Chir Belg. 1993;93:177–180. - PubMed
-
- Israel GM, Bosniak MA, Slywotzky CM, et al. CT differentiation of large exophytic renal angiomyolipomas and perirenal liposarcomas. AJR Am J Roentgenol. 2002;179:769–773. - PubMed
-
- Wang LJ, Wong YC, Chen CJ, et al. Computerized tomography characteristics that differentiate angiomyolipomas from liposarcomas in the perinephric space. J Urol. 2002;167:490–493. - PubMed
-
- Ashfaq R, Weinberg AG, Albores-Saavedra J. Renal angiomyolipomas and HMB-45 reactivity. Cancer. 1993;71:3091–3097. - PubMed
-
- Lemaitre L, Robert Y, Dubrulle F, et al. Renal angiomyolipoma: growth followed up with CT and/or US. Radiology. 1995;197:598–602. - PubMed
MeSH terms
Substances
Grants and funding
LinkOut - more resources
Full Text Sources
Medical