A mouse model for glucocorticoid-induced osteonecrosis: effect of a steroid holiday
- PMID: 18683891
- PMCID: PMC2718787
- DOI: 10.1002/jor.20733
A mouse model for glucocorticoid-induced osteonecrosis: effect of a steroid holiday
Abstract
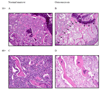
Glucocorticoid-induced osteonecrosis is a common and dose-limiting adverse event. The goal of this study was to establish a mouse model of glucocorticoid-induced osteonecrosis suitable for testing the effects of different treatment strategies on its frequency. Fourteen murine strains were screened using various glucocorticoids, routes of administration, and diets. Four-week-old male BALB/cJ mice were treated with oral dexamethasone for up to 12 weeks either by continuous dosing or by discontinuous dosing, with or without asparaginase. Histopathological features of the distal femurs were examined by light microscopy. Osteonecrotic lesions were characterized by empty lacunae and osteocyte ghosts in trabecular bone surrounded by necrotic marrow and edema. The incidence of dexamethasone induced osteonecrosis in BALB/cJ mice was 40-45% (4/10 or 5/11) at 12 weeks. The frequency of osteonecrosis trended lower after discontinuous compared to continuous dosing for 12 weeks (8 vs. 45%) (p = 0.06) despite comparable cumulative plasma exposure. Asparaginase hastened the occurrence of osteonecrosis, which was observed as early as 4 weeks and the incidence was 50% after 6 weeks. A mouse model of glucocorticoid-induced osteonecrosis was established. Discontinuous was less osteonecrotic than continuous dexamethasone treatment, consistent with the possible benefits of a "steroid holiday" seen in clinical settings. Moreover, asparaginase hastened osteonecrosis, indicating that drugs may interact with glucocorticoids to affect osteonecrosis risk.
Figures


References
-
- van Vugt RM, Sijbrandij ES, Bijlsma JW. Magnetic resonance imaging of the femoral head to detect avascular necrosis in active rheumatoid arthritis treated with methylprednisolone pulse therapy. Scand J Rheumatol. 1996;25:74–76. - PubMed
-
- Zizic TM. Osteonecrosis. Curr Opin Rheumatol. 1991;3:481–489. - PubMed
-
- Tsurko VV, Ivanova MM, Tokmachev I. Corticosteroid therapy and aseptic bone necrosis in patients with rheumatoid arthritis. Ter Arkh. 1995;67:71–74. - PubMed
-
- Burger B, Beier R, Zimmermann M, et al. Osteonecrosis: a treatment related toxicity in childhood acute lymphoblastic leukemia (ALL)--experiences from trial ALL-BFM 95. Pediatr Blood Cancer. 2005;44:220–225. - PubMed
-
- Mattano LA, Jr., Sather HN, Trigg ME, et al. Osteonecrosis as a complication of treating acute lymphoblastic leukemia in children: a report from the Children's Cancer Group. J Clin Oncol. 2000;18:3262–3272. - PubMed
Publication types
MeSH terms
Substances
Grants and funding
LinkOut - more resources
Full Text Sources
Medical