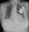
Pneumopericardium after attempted left ventricular lead insertion
- PMID: 18685751
- PMCID: PMC2644369
- DOI: 10.1016/s0828-282x(08)70659-7
Pneumopericardium after attempted left ventricular lead insertion
Figures
References
-
- de Cock CC, van Campen CM, Visser CA. Major dissection of the coronary sinus and its tributaries during lead implantation for biventricular stimulation: Angiographic follow-up. Europace. 2004;6:43–7. - PubMed
-
- Sebastian CC, Wu WC, Shafer M, Choudhary G, Patel PM. Pneumopericardium and pneumothorax after permanent pacemaker implantation. Pacing Clin Electrophysiol. 2005;28:466–8. - PubMed
Publication types
MeSH terms
LinkOut - more resources
Full Text Sources
Medical
