Aortic dissection type I in a weightlifter with hypertension: A case report
- PMID: 18706125
- PMCID: PMC2533001
- DOI: 10.1186/1757-1626-1-99
Aortic dissection type I in a weightlifter with hypertension: A case report
Abstract
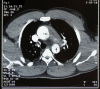
Acute aortic dissection can occur at the time of intense physical exertion in strength-trained athletes like weightlifters, bodybuilders, throwers, and wrestlers.Rapid rise in blood pressure and history of hypertension are the most common causes of aortic dissection in athletes. It is a very tragic event because of its high mortality rate of about 32% in young patients. We report a case of aortic dissection in a young weightlifter with an extensive intimal tear of the aorta, from the sinus of Valsalva to the abdominal aorta.
Figures




References
-
- Gammie J, Katz WE, Swanson ER, Anrew P. Acute aortic dissection after blunt chest trauma. Trauma. 1996;40:126–127. - PubMed
-
- Corrado D, Pelliccia A, Bjornstad HH, Vanhees L, Biffi A, Borjesson M, Panhuyzen-Goedkoop N, Deligiannis A, Solberg E, Dugmore D, Mellwig KP, Assanelli D, Delise P, van-Buuren F, Anastasakis A, Heidbuchel H, Hoffmann E, Fagard R, Priori SG, Basso C, Arbustini E, Blomstrom-Lundqvist C, McKenna WJ, Thiene G, Study Group of Sport Cardiology of the Working Group of Cardiac Rehabilitation and Exercise Physiology and the Working Group of Myocardial and Pericardial Diseases of the European Society of Cardiology Cardiovascular pre-participation screening of young competitive athletes for prevention of sudden death: proposal for a common European protocol. Consensus Statement of the Study Group of Sport Cardiology of the Working Group of Cardiac Rehabilitation and Exercise Physiology and the Working Group of Myocardial and Pericardial Diseases of the European Society of Cardiology. Eur Heart J. 2005;26:516–24. doi: 10.1093/eurheartj/ehi108. - DOI - PubMed
-
- Pluim BM, Zwinderman AH, Laarse A van der, Wall EE van der. The athlete's heart. A meta-analysis of cardiac structure and function. Circulation. 2000;101:336–44. - PubMed
LinkOut - more resources
Full Text Sources