Detection of autoantibodies to neural cells of the cerebellum in the plasma of subjects with autism spectrum disorders
- PMID: 18706993
- PMCID: PMC2660333
- DOI: 10.1016/j.bbi.2008.07.007
Detection of autoantibodies to neural cells of the cerebellum in the plasma of subjects with autism spectrum disorders
Abstract
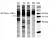
Autism spectrum disorders (ASD) are a group of heterogeneous, behaviorally defined disorders characterized by disturbances in social interaction and communication, often with repetitive and stereotyped behavior. Previous studies have described the presence of antibodies to various neural proteins in autistic individuals as well as post-mortem evidence of neuropathology in the cerebellum. We examined plasma from children with ASD, as well as age-matched typically developing controls, for antibodies directed against human cerebellar protein extracts using Western blot analysis. In addition, the presence of cerebellar specific antibodies was assessed by immunohistochemical staining of sections from Macaca fascicularis monkey cerebellum. Western blot analysis revealed that 13/63 (21%) of subjects with ASD possessed antibodies that demonstrated specific reactivity to a cerebellar protein with an apparent molecular weight of approximately 52 kDa compared with only 1/63 (2%) of the typically developing controls (p=0.0010). Intense immunoreactivity, to what was determined morphologically to be the Golgi cell of the cerebellum, was noted for 7/34 (21%) of subjects with ASD, compared with 0/23 of the typically developing controls. Furthermore, there was a strong association between the presence of antibodies reactive to the 52 kDa protein by Western blot with positive immunohistochemical staining of cerebellar Golgi cells in the ASD group (r=0.76; p=0.001) but not controls. These studies suggest that when compared with age-matched typically developing controls, children with ASD exhibit a differential antibody response to specific cells located in the cerebellum and this response may be associated with a protein of approximately 52 kDa.
Figures
 
              
              
              
              
                
                
                 
              
              
              
              
                
                
                 
              
              
              
              
                
                
                 
              
              
              
              
                
                
                 
              
              
              
              
                
                
                 
              
              
              
              
                
                
                References
- 
    - Prevalence of autism spectrum disorders--autism and developmental disabilities monitoring network, 14 sites, United States, 2002. MMWR Surveill Summ. 2007;56:12–28. - PubMed
 
- 
    - Alarcon-Segovia D, Ruiz-Arguelles A, Fishbein E. Antibody to nuclear ribonucleoprotein penetrates live human mononuclear cells through Fc receptors. Nature. 1978;271:67–69. - PubMed
 
- 
    - Amaral DG, Schumann CM, Nordahl CW. Neuroanatomy of autism. Trends Neurosci. 2008;31:137–145. - PubMed
 
- 
    - Ashwood P, Wills S, Van de Water J. The immune response in autism: a new frontier for autism research. J Leukoc Biol. 2006;80:1–15. - PubMed
 
- 
    - Association AP. Diagnostic and Statistical Manual of Mental Disorders. Fourth Edition. Washington, DC: American Psychiatric Association; 1994.
 
Publication types
MeSH terms
Substances
Grants and funding
LinkOut - more resources
- Full Text Sources
- Other Literature Sources
 
        