Prostate tumor progression is mediated by a paracrine TGF-beta/Wnt3a signaling axis
- PMID: 18724388
- PMCID: PMC3222150
- DOI: 10.1038/onc.2008.293
Prostate tumor progression is mediated by a paracrine TGF-beta/Wnt3a signaling axis
Abstract
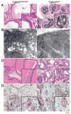
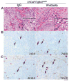
Transforming growth factor (TGF)-beta is an important paracrine factor in tumorigenesis. Ligand binding of the type I and II TGF-beta receptors initiate downstream signaling. The role of stromal TGF-beta signaling in prostate cancer progression is unknown. In mice, the conditional stromal knockout of the TGF-beta type II receptor expression (Tgfbr2(fspKO)) resulted in the development of prostatic intraepithelial neoplasia and progression to adenocarcinoma within 7 months. Clinically, we observed a loss of TGF-beta receptor type II expression in 69% of human prostate cancer-associated stroma, compared to 15% of stroma associated with benign tissues (n=140, P-value <0.0001). To investigate the mechanism of paracrine TGF-beta signaling in prostate cancer progression, we compared the effect of the prostatic stromal cells from Tgfbr2(fspKO) and floxed TGF-beta type II receptor Tgfbr2(floxE2/floxE2) mice on LNCaP human prostate cancer cells in vitro and tissue recombination xenografts. Induction of LNCaP cell proliferation and tumorigenesis was observed by Tgfbr2(fspKO) prostate stroma as a result of elevated Wnt3a expression. Neutralizing antibodies to Wnt3a reversed LNCaP tumorigenesis. The TGF-beta inhibition of Wnt3a expression was in part through the suppression of Stat3 activity on the Wnt3a promoter. In conclusion, the frequent loss of stromal TGF-beta type II receptor expression in human prostate cancer can relieve the paracrine suppression of Wnt3a expression.
Figures







References
Publication types
MeSH terms
Substances
Grants and funding
LinkOut - more resources
Full Text Sources
Medical
Molecular Biology Databases
Miscellaneous