Skip to main page content
U.S. flag

An official website of the United States government

Dot gov

The .gov means it’s official.
Federal government websites often end in .gov or .mil. Before sharing sensitive information, make sure you’re on a federal government site.

Https

The site is secure.
The https:// ensures that you are connecting to the official website and that any information you provide is encrypted and transmitted securely.

Access keys NCBI Homepage MyNCBI Homepage Main Content Main Navigation
. 2008 Oct 28;71(18):1402-9.
doi: 10.1212/01.wnl.0000327094.67726.28. Epub 2008 Sep 17.

Neurodegeneration associated with genetic defects in phospholipase A(2)

Affiliations

Neurodegeneration associated with genetic defects in phospholipase A(2)

A Gregory et al. Neurology. .

Abstract

Objective: Mutations in the gene encoding phospholipase A(2) group VI (PLA2G6) are associated with two childhood neurologic disorders: infantile neuroaxonal dystrophy (INAD) and idiopathic neurodegeneration with brain iron accumulation (NBIA). INAD is a severe progressive psychomotor disorder in which axonal spheroids are found in brain, spinal cord, and peripheral nerves. High globus pallidus iron is an inconsistent feature of INAD; however, it is a diagnostic criterion of NBIA, which describes a clinically and genetically heterogeneous group of disorders that share this hallmark feature. We sought to delineate the clinical, radiographic, pathologic, and genetic features of disease resulting from defective phospholipase A(2).

Methods: We identified 56 patients clinically diagnosed with INAD and 23 with idiopathic NBIA and screened their DNA for PLA2G6 mutations.

Results: Eighty percent of patients with INAD had mutations in PLA2G6, whereas mutations were found in only 20% of those with idiopathic NBIA. All patients with two null mutations had a more severe phenotype. On MRI, nearly all mutation-positive patients had cerebellar atrophy, and half showed brain iron accumulation. We observed Lewy bodies and neurofibrillary tangles in association with PLA2G6 mutations.

Conclusion: Defects in phospholipase A(2) lead to a range of phenotypes. PLA2G6 mutations are associated with nearly all cases of classic infantile neuroaxonal dystrophy but a minority of cases of idiopathic neurodegeneration with brain iron accumulation, and genotype correlates with phenotype. Cerebellar atrophy predicts which patients are likely to be mutation-positive. The neuropathologic changes that are caused by defective phospholipase A(2) suggest a shared pathogenesis with both Parkinson and Alzheimer diseases.

PubMed Disclaimer

Figures

None
Figure 1 Pathologic changes from a case of atypical neuroaxonal dystrophy due to a PLA2G6 mutation (A) Coronal section through basal ganglia. Note brownish discoloration of inner segment of globus pallidus (arrow) contrasting to the more gray putamen (arrowhead). (B) Microscopic examination demonstrated neuronal loss, iron pigment accumulation (star), and large eosinophilic spheroids (arrows) on hematoxylin-eosin (H-E) stain. (C) Perl’s Prussian blue staining revealed extensive iron accumulation (dark blue grains), mostly in large extracellular deposits and in perivascular distribution. (D) Lewy bodies (arrows) were observed in substantia nigra with H-E staining and by immunostaining with syn303 (E, F). α-Synuclein-positive Lewy bodies (G, H), as well as spheroids and dystrophic neurites (I, arrowheads) were abundant in cingulate cortex. (J) Neurofibrillary tangles (arrows) were observed by Bielschowsky silver stain in insular cortex and (K, L) by immunostaining with PHF-1 for hyperphosphorylated tau in temporal cortex. Scale bar: 50 μm.
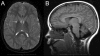
None
Figure 2 Pattern on brain MRI (A) High globus pallidus iron (arrow) on T2-weighted imaging in a 9-year-old patient with atypical neuroaxonal dystrophy and PLA2G6 mutations. (B) Cerebellar atrophy (arrow) is evident in a case of classic infantile neuroaxonal dystrophy.

Comment in

References

    1. Nardocci N, Zorzi G, Farina L, et al. Infantile neuroaxonal dystrophy: clinical spectrum and diagnostic criteria. Neurology 1999;52:1472–1478. - PubMed
    1. Farina L, Nardocci N, Bruzzone MG, et al. Infantile neuroaxonal dystrophy: neuroradiological studies in 11 patients. Neuroradiol 1999;41:376–380. - PubMed
    1. Simonati A, Trevisan C, Salviati A, Rizzuto N. Neuroaxonal dystrophy with dystonia and pallidal involvement. Neuropediatrics 1999;30:151–154. - PubMed
    1. Hayflick SJ. Pantothenate kinase-associated neurodegeneration (formerly Hallervorden-Spatz syndrome). J Neurol Sci 2003;207:106–107. - PubMed
    1. Hayflick SJ, Westaway SK, Levinson B, et al. Genetic, clinical, and radiographic delineation of Hallervorden-Spatz syndrome. N Engl J Med 2003;348:33–40. - PubMed

Publication types