Progress in periventricular leukomalacia
- PMID: 18852342
- PMCID: PMC2898886
- DOI: 10.1001/archneur.65.10.1291
Progress in periventricular leukomalacia
Abstract
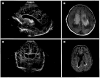
Periventricular leukomalacia (PVL) is the predominant form of brain injury and the leading known cause of cerebral palsy and cognitive deficits in premature infants. The number of low-birth-weight infants who survive to demonstrate these neurologic deficts is increasing. Magnetic resonance imaging-based neuroimaging techniques provide greater diagnostic sensitivity for PVL than does head ultrasonography and often document the involvement of telencephalic gray matter and long tracts in addition to periventricular white matter. The neuropathologic hallmarks of PVL are microglial activation and focal and diffuse periventricular depletion of premyelinating oligodendroglia. Premyelinating oligodendroglia are highly vulnerable to death caused by glutamate, free radicals, and proinflammatory cytokines. Studies in animal models of PVL suggest that pharmacologic interventions that target these toxic molecules will be useful in diminishing the severity of PVL.
Figures


References
-
- Back SA, Riddle A, McClure MM. Maturation-dependent vulnerability of perinatal white matter in premature birth. Stroke. 2007;38(2 suppl):724–730. - PubMed
-
- De Vries LS, Van Haastert I-LC, Rademaker KJ, Koopman C, Groenendaal F. Ultrasound abnormalities preceding cerebral palsy in high-risk preterm infants. J Pediatr. 2004;144(6):815–820. - PubMed
-
- Inder TE, Huppi PS, Warfield S, et al. Periventricular white matter injury in the premature infant is followed by reduced cerebral cortical gray matter volume at term. Ann Neurol. 1999;46(5):755–760. - PubMed
Publication types
MeSH terms
Grants and funding
LinkOut - more resources
Full Text Sources
Other Literature Sources