Skip to main page content
U.S. flag

An official website of the United States government

Dot gov

The .gov means it’s official.
Federal government websites often end in .gov or .mil. Before sharing sensitive information, make sure you’re on a federal government site.

Https

The site is secure.
The https:// ensures that you are connecting to the official website and that any information you provide is encrypted and transmitted securely.

Access keys NCBI Homepage MyNCBI Homepage Main Content Main Navigation
Case Reports
. 2008 Jan;12(1):53-5.

Intracranial arachnoid cyst associated with traumatic intracystic hemorrhage and subdural haematoma

Affiliations
Case Reports

Intracranial arachnoid cyst associated with traumatic intracystic hemorrhage and subdural haematoma

P P Tsitsopoulos et al. Hippokratia. 2008 Jan.

Abstract

Background: Brain arachnoid cysts are fluid collections of developmental origin. They are commonly detected incidentally in patients imaged for unrelated symptoms.

Case description: A 15-year-old healthy boy with a recent history of head trauma experienced headache that gradually worsened over the course of 10 days. He underwent CT and MRI brain scans which revealed the presence of subdural haematoma caused by the rupture of a middle cranial fossa arachnoid cyst. This was accompanied by intracystic haemorrhage. The subdural haematoma was removed, while communication of the cyst with the basal cisterns was also performed. The postoperative course of the patient was uneventful.

Conclusions: The annual haemorrhage risk for the patients with middle cranial fossa cysts remains very low. However, when haemorrhage occurs, in most occasions it can be effectively managed only with haematoma evacuation.

Keywords: intracranial arachnoid cyst; intracystic bleeding; subdural haematoma; treatment.

PubMed Disclaimer

Figures

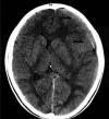
Figure 1.
Figure 1.. Computed Tomography (CT) scan showing the presence of subdural haematoma in the right frontotemporal region (arrows)
Figure 2.
Figure 2.. Sagittal T1 post contrast Magnetic Resonance Imaging (MRI) scan (a) and T2 sequence MRI scan clearly demonstrating arachnoid cyst, subdural haematoma and intracystic hemorrhage (arrows)
Figure 3.
Figure 3.. Postoperative axial CT scan with contrast enhancement at 1-year. The arachnoid cyst in the right temporal lobe is present with no evidence of intracranial hemorrhage and mass effect (arrow)

References

    1. Iaconetta G, Esposito M, Maiuri F, Cappabianca P. Arachnoid cyst with intracystic haemorrhage and subdural haematoma: case report and literature review. Neurol Sci. 2006;26:451–455. - PubMed
    1. Gosalakkal JA. Intracranial arachnoid cysts in children: a review of pathogenesis, clinical features and management. Pediatr Neurol. 2002;26:93–98. - PubMed
    1. Hopkin J, Mamourian A, Lollis S, Duhaime T. The next extreme sport? Subdural haematoma in a patient with arachnoid cyst after head shaking competition. Br J Neurosurg. 2006;20:111–113. - PubMed
    1. Parsch CS, Krauss J, Hofmann E, Meixensberger J, Roosen K. Arachnoid cysts associated with subdural hematomas and hygromas: analysis of 16 cases, long-term follow-up and review of the literature. Neurosurgery. 1997;40:483–490. - PubMed
    1. Kanev PM. Chapter208, Arachnoid cyst. In: Youmans JR, editor. Neurological Surgery. ed 3. vol 3. Philadelphia: Saunders; 2004. pp. 3289–3299.

Publication types

LinkOut - more resources