Silent aortic dissection presenting as transient locked-in syndrome
- PMID: 18941610
- PMCID: PMC2565549
Silent aortic dissection presenting as transient locked-in syndrome
Abstract
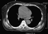
Acute aortic dissection is a medical emergency. Without prompt recognition and treatment, the mortality rate is high. An atypical presentation makes timely diagnosis difficult, especially if the patient is experiencing no characteristic pain. Many patients with aortic dissection are reported to have presented with various neurologic manifestations, but none with only a presentation of transient locked-in syndrome.Herein, we report a case of completely painless aortic dissection in a woman who presented with a transient episode of anarthria, quadriplegia, and preserved consciousness. On physical examination, she had a 40-point difference in blood pressure between her left and right arms, and a loud diastolic murmur. The diagnosis of acute aortic dissection was reached via a combination of radiography, computed tomography, echocardiography, and a high index of clinical suspicion. The patient underwent emergency surgery and ultimately experienced a successful outcome.To our knowledge, this is the 1st report of aortic dissection that presented solely as locked-in syndrome. We suggest that silent aortic dissection be added to the differential diagnosis for transient locked-in syndrome.
Keywords: Akinetic mutism/diagnosis/etiology; aneurysm, dissecting/diagnosis; aortic aneurysm/diagnosis; consciousness; quadriplegia/diagnosis/etiology/physiopathology; time factors.
Figures
 
              
              
              
              
                
                
                 
              
              
              
              
                
                
                 
              
              
              
              
                
                
                 
              
              
              
              
                
                
                References
- 
    - Hirst AE Jr, Johns VJ Jr, Kime SW Jr. Dissecting aneurysm of the aorta: a review of 505 cases. Medicine (Baltimore) 1958; 37(3):217–79. - PubMed
 
- 
    - Armstrong WF, Bach DS, Carey LM, Froehlich J, Lowell M, Kazerooni EA. Clinical and echocardiographic findings in patients with suspected acute aortic dissection. Am Heart J 1998;136(6):1051–60. - PubMed
 
- 
    - Hagan PG, Nienaber CA, Isselbacher EM, Bruckman D, Karavite DJ, Russman PL, et al. The International Registry of Acute Aortic Dissection (IRAD): new insights into an old disease. JAMA 2000;283(7):897–903. - PubMed
 
- 
    - Park SW, Hutchison S, Mehta RH, Isselbacher EM, Cooper JV, Fang J, et al. Association of painless acute aortic dissection with increased mortality. Mayo Clin Proc 2004;79(10): 1252–7. - PubMed
 
- 
    - Patterson JR, Grabois M. Locked-in syndrome: a review of 139 cases. Stroke 1986;17(4):758–64. - PubMed
 
Publication types
MeSH terms
LinkOut - more resources
- Full Text Sources
