Regression of subependymal giant cell astrocytoma with rapamycin in tuberous sclerosis complex
- PMID: 18952591
- PMCID: PMC3072698
- DOI: 10.1177/0883073808321764
Regression of subependymal giant cell astrocytoma with rapamycin in tuberous sclerosis complex
Abstract
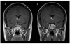
The authors present a 21-year-old woman who has been receiving rapamycin for 5 months for bilateral subependymal giant cell astrocytomas. The patient was started at a dose of 0.2 mg/kg/day. Levels were maintained between 11 and 13 ng/mL. Magnetic resonance imaging of the brain 2(1/2) months after initiating rapamycin demonstrated a decrease in size of both astrocytomas (11 to 7.5 mm on the right and 8 to 5 mm on the left). Further studies are needed with prolonged observation to confirm these findings, determine the length of necessary treatment, and evaluate recurrence risk after discontinuation of rapamycin.
Figures
References
Publication types
MeSH terms
Substances
Grants and funding
LinkOut - more resources
Full Text Sources
Other Literature Sources
Medical
