Duplication of 7q34 in pediatric low-grade astrocytomas detected by high-density single-nucleotide polymorphism-based genotype arrays results in a novel BRAF fusion gene
- PMID: 19016743
- PMCID: PMC2850204
- DOI: 10.1111/j.1750-3639.2008.00225.x
Duplication of 7q34 in pediatric low-grade astrocytomas detected by high-density single-nucleotide polymorphism-based genotype arrays results in a novel BRAF fusion gene
Erratum in
- Brain Pathol. 2009 Jul;19(3):550
Abstract
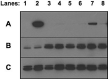
In the present study, DNA from 28 pediatric low-grade astrocytomas was analyzed using Illumina HumanHap550K single-nucleotide polymorphism oligonucleotide arrays. A novel duplication in chromosome band 7q34 was identified in 17 of 22 juvenile pilocytic astrocytomas and three of six fibrillary astrocytomas. The 7q34 duplication spans 2.6 Mb of genomic sequence and contains approximately 20 genes, including two candidate tumor genes, HIPK2 and BRAF. There were no abnormalities in HIPK2, and analysis of two mutation hot-spots in BRAF revealed a V600E mutation in only one tumor without the duplication. Fluorescence in situ hybridization confirmed the 7q34 copy number change and was suggestive of a tandem duplication. Reverse transcription polymerase chain reaction-based sequencing revealed a fusion product between KIAA1549 and BRAF. The predicted fusion product includes the BRAF kinase domain and lacks the auto-inhibitory N-terminus. Western blot analysis revealed phosphorylated mitogen-activated protein kinase (MAPK) protein in tumors with the duplication, consistent with BRAF-induced activation of the pathway. Further studies are required to determine the role of this fusion gene in downstream MAPK signaling and its role in development of pediatric low-grade astrocytomas.
Figures




References
-
- Aarsen FK, Paquier PF, Reddingius RE, Streng IC, Arts WF, Evera‐Preesman M, Catsman‐Berrevoets CE (2006) Functional outcome after low‐grade astrocytoma treatment in childhood. Cancer 106:396–402. - PubMed
-
- Basto D, Trovisco V, Lopes JM, Martins A, Pardal F, Soares P, Reis RM (2005) Mutation analysis of B‐RAF gene in human gliomas. Acta Neuropathol 109:207–210. - PubMed
-
- Bigner SH, McLendon RE, Fuchs H, McKeever PE, Friedman HS (1997) Chromosomal characteristics of childhood brain tumors. Cancer Genet Cytogenet 97:125–134. - PubMed
-
- Davies H, Bignell GR, Cox C, Stephens P, Edkins S, Clegg S et al (2002) Mutations of the BRAF gene in human cancer. Nature 417:949–954. - PubMed
Publication types
MeSH terms
Substances
Grants and funding
LinkOut - more resources
Full Text Sources
Other Literature Sources
Medical
Research Materials
Miscellaneous