Disseminated tuberculosis following the placement of ureteral stents: a case repot
- PMID: 19077197
- PMCID: PMC2614942
- DOI: 10.1186/1757-1626-1-383
Disseminated tuberculosis following the placement of ureteral stents: a case repot
Abstract
Background: Miliary tuberculosis occurs as a result of hematogenous dissemination of Mycobacerium tuberculosis. This can occur due to progressive primary infection, reactivation of latent focus with subsequent spread, or rarely via iatrogenic origin.
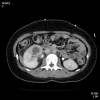
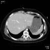
Case presentation: This is a case of 21 year-old woman presented with hydronephrosis and hematuria due to unrecognized renal tuberculosis. She underwent bilateral ureteral stent placement which lead to dissemination of the Mycobateria through the blood causing pulmonary tuberculosis and multiple tuberculous abscesses in the paraspinous muscles, pleural space and skin.
Conclusion: Disseminated tuberculosis due to Mycobacteremia after surgical intervention is a rare complication. Mycobacteria should be considered among other more common microorganisms that can cause post operative bacteremia.
Figures




References
-
- Babanoury AB, Boggs LK. Miliary tuberculosis following retrograde pyelogram. J Urol. 1966;96:101–2. - PubMed
-
- Morano Amado LE, Amador Barciela L, Rodriguez Fernandez A, Martinez-Sapina Liamas I, Vazquez Alvarez O, Fernandez Martin J. Extracorporeal shock wave lithotripsy complicated with miliary tuberculosis. J Urol. 1993;149:1532–34. - PubMed
LinkOut - more resources
Full Text Sources