Autosomal recessive polycystic kidney disease and congenital hepatic fibrosis (ARPKD/CHF)
- PMID: 19089418
- PMCID: PMC2918426
- DOI: 10.1007/s00247-008-1064-x
Autosomal recessive polycystic kidney disease and congenital hepatic fibrosis (ARPKD/CHF)
Abstract
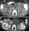
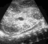
ARPKD/CHF is an inherited disease characterized by non-obstructive fusiform dilatation of the renal collecting ducts leading to enlarged spongiform kidneys and ductal plate malformation of the liver resulting in congenital hepatic fibrosis. ARPKD/CHF has a broad spectrum of clinical presentations involving the kidney and liver. Imaging plays an important role in the diagnosis and follow-up of ARPKD/CHF. Combined use of conventional and high-resolution US with MR cholangiography in ARPKD/CHF patients allows detailed definition of the extent of kidney and hepatobiliary manifestations without requiring ionizing radiation and contrast agents.
Figures
References
-
- Zerres K, Mücher G, Becker J, et al. Prenatal diagnosis of autosomal recessive polycystic kidney disease (ARPKD): molecular genetics, clinical experience, and fetal morphology. Am J Med Genet. 1998;76:137–144. - PubMed
-
- Avner ED, Sweeney WE., Jr Renal cystic disease: new insights for the clinician. Pediatr Clin North Am. 2006;53:889–909. - PubMed
-
- Ward CJ, Hogan MC, Rossetti S, et al. The gene mutated in autosomal recessive polycystic kidney disease encodes a large, receptor-like protein. Nat Genet. 2002;30:259–269. - PubMed
-
- Bergmann C, Senderek J, Sedlacek B, et al. Spectrum of mutations in the gene for autosomal recessive polycystic kidney disease (ARPKD/PKHD1). J Am Soc Nephrol. 2003;14:76–89. - PubMed
-
- Sumfest JM, Burns MW, Mitchell ME. Aggressive surgical and medical management of autosomal recessive polycystic kidney disease. Urology. 1993;42:309–312. - PubMed
Publication types
MeSH terms
Grants and funding
LinkOut - more resources
Full Text Sources
Medical
