Skip to main page content
U.S. flag

An official website of the United States government

Dot gov

The .gov means it’s official.
Federal government websites often end in .gov or .mil. Before sharing sensitive information, make sure you’re on a federal government site.

Https

The site is secure.
The https:// ensures that you are connecting to the official website and that any information you provide is encrypted and transmitted securely.

Access keys NCBI Homepage MyNCBI Homepage Main Content Main Navigation
. 2009 Jan;15(1):75-8.
doi: 10.3201/eid1501.080804.

Clonal multidrug-resistant Corynebacterium striatum strains, Italy

Affiliations

Clonal multidrug-resistant Corynebacterium striatum strains, Italy

Floriana Campanile et al. Emerg Infect Dis. 2009 Jan.

Abstract

We assessed the clinical relevance and performed molecular characterization of 36 multidrug-resistant strains of Corynebacterium striatum. Pulsed-field gel electrophoresis confirmed a single clone, possessing erm(X), tetA/B, cmxA/B, and aphA1 genes, but few related subclones. This strain is emerging as a pathogen in Italy.

PubMed Disclaimer

Figures

Figure
Figure
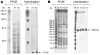
Pulsed-field gel electrophoresis (PFGE) patterns of Corynebacterium striatum and their representative hybridizations obtained with probes corresponding to the resistance genes erm(X), tetA-tetB, cmx, and aphA1 (m, lambda ladder PFG marker). A) XbaI (A1and A2 profiles); B) SwaI (a1 and a2 profiles).

References

    1. Mayall C, ed. Surveillance of nosocomial infections. 3rd ed. Philadelphia: Lippincott Williams & Wilkins; 2004.
    1. Renom F, Garau M, Rubi M, Ramis F, Galmes A, Soriano JB. Nosocomial outbreak of Corynebacterium striatum infection in patients with chronic obstructive pulmonary disease. J Clin Microbiol. 2007;45:2064–7. 10.1128/JCM.00152-07 - DOI - PMC - PubMed
    1. Pascual C, Lawson PA, Farrow JA, Gimenez MN, Collins MD. Phylogenetic analysis of the genus Corynebacterium based on 16S rRNA gene sequences. Int J Syst Bacteriol. 1995;45:724–8. - PubMed
    1. Clinical and Laboratory Standard Institute. Performance standards for antimicrobial testing. Approved standards. Wayne (PA): The Institute; 2006.
    1. Iaria C, Stassi G, Costa GB, Biondo C, Gerace E, Noto A, et al. Outbreak of multi-resistant Corynebacterium striatum infection in an Italian general intensive care unit. J Hosp Infect. 2007;67:102–4. 10.1016/j.jhin.2007.07.002 - DOI - PubMed

Publication types

MeSH terms

LinkOut - more resources