Pituitary apoplexy producing internal carotid artery compression: a case report
- PMID: 19119461
- PMCID: PMC2610651
- DOI: 10.3346/jkms.2008.23.6.1113
Pituitary apoplexy producing internal carotid artery compression: a case report
Abstract
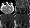
We report a case of pituitary apoplexy resulting in right internal carotid artery occlusion accompanied by hemiplegia and lethargy. A 43-yr-old man presented with a sudden onset of severe headache, visual disturbance and left hemiplegia. Investigations revealed a nodular mass, located in the sella and suprasellar portion and accompanied by compression of the optic chiasm. The mass compressed the bilateral cavernous sinuses, resulting in the obliteration of the cavernous portion of the right internal carotid artery. A border zone infarct in the right fronto-parietal region was found. Transsphenoidal tumor decompression following conservative therapy with fluid replacement and steroids was performed. Pathological examination revealed an almost completely infarcted pituitary adenoma. The patient's vision improved immediately after the decompression, and the motor weakness improved to grade IV(+) within six months after the operation. Pituitary apoplexy resulting in internal carotid artery occlusion is rare. However, clinicians should be aware of the possibility and the appropriate management of such an occurrence.
Keywords: Cerebral Infarction; Cerebrovascular Disorders; Paresis; Pituitary Apoplexy.
Figures
References
-
- Dubuisson AS, Beckers A, Stevenaert A. Classical pituitary tumour apoplexy: clinical features, management and outcomes in a series of 24 patients. Clin Neurol Neurosurg. 2007;109:63–70. - PubMed
-
- Akutsu H, Noguchi S, Tsunoda T, Sasaki M, Matsumura A. Cerebral infarction following pituitary apoplexy-case report. Neurol Med Chir (Tokyo) 2004;44:479–483. - PubMed
-
- Cardoso ER, Peterson EW. Pituitary apoplexy and vasospasm. Surg Neurol. 1983;20:391–395. - PubMed
-
- D'Haens J, Baleriaux D, Mockel J, Flamment-Durand J, Brotchi J. Ischemic pituitary apoplexy and cerebrovascular accident. Neurochirurgie. 1983;29:401–405. - PubMed
-
- Itoyama Y, Goto S, Miura M, Kuratsu J, Ushio Y, Matsumoto T. Intracranial arterial vasospasm associated with pituitary apoplexy after head trauma-case report. Neurol Med Chir (Tokyo) 1990;30:350–353. - PubMed
Publication types
MeSH terms
LinkOut - more resources
Full Text Sources
Medical
