TWEAK and its receptor Fn14 in the synovium of patients with rheumatoid arthritis compared to psoriatic arthritis and its response to tumour necrosis factor blockade
- PMID: 19147618
- PMCID: PMC2789939
- DOI: 10.1136/ard.2008.090548
TWEAK and its receptor Fn14 in the synovium of patients with rheumatoid arthritis compared to psoriatic arthritis and its response to tumour necrosis factor blockade
Abstract
Objective: To investigate the expression of tumour necrosis factor (TNF)-like weak inducer of apoptosis (TWEAK) and its receptor fibroblast growth factor inducible 14 (Fn14) in the inflamed synovium of patients with arthritis, as TWEAK blockade has been observed to have a beneficial effect in an animal model of rheumatoid arthritis (RA).
Methods: Synovial tissue (ST) biopsies were obtained from 6 early, methotrexate-naive patients with RA as well as 13 patients with RA and 16 patients with psoriatic arthritis (PsA) who were matched for treatment and disease duration. Serial ST samples were obtained from a separate cohort of 13 patients with RA before and after infliximab treatment. TWEAK and Fn14 expression was evaluated by immunohistochemistry and digital image analysis.
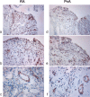
Results: TWEAK and Fn14 were clearly expressed in ST of patients with RA and PsA. TWEAK expression was significantly higher in RA (sub)lining samples compared to PsA (p = 0.005 and p = 0.014, respectively), but Fn14 expression was comparable. Double immunofluorescence showed TWEAK and Fn14 expression on fibroblast-like synoviocytes and macrophages, but not T cells. Of interest, persistent TWEAK and Fn14 expression was found after anti-TNF therapy.
Conclusions: TWEAK and Fn14 are abundantly expressed in the inflamed synovium of patients with RA and PsA. This raises the possibility that blocking TWEAK/Fn14 signalling could be of therapeutic benefit in inflammatory arthritis.
Conflict of interest statement
Figures
References
-
- Burkly LC, Michaelson JS, Hahm K, et al. TWEAKing tissue remodeling by a multifunctional cytokine: role of TWEAK/Fn14 pathway in health and disease. Cytokine 2007;40:1–16 - PubMed
-
- Perper SJ, Browning B, Burkly LC, et al. TWEAK is a novel arthritogenic mediator. J Immunol 2006;177:2610–20 - PubMed
-
- Wiley SR, Winkles JA. TWEAK, a member of the TNF superfamily, is a multifunctional cytokine that binds the TweakR/Fn14 receptor. Cytokine Growth Factor Rev 2003;14:241–9 - PubMed
-
- Kamata K, Kamijo S, Nakajima A, et al. Involvement of TNF-like weak inducer of apoptosis in the pathogenesis of collagen-induced arthritis. J Immunol 2006;177:6433–9 - PubMed
Publication types
MeSH terms
Substances
LinkOut - more resources
Full Text Sources
Other Literature Sources
Medical
Research Materials
Miscellaneous
