Hughes-Stovin syndrome: a case report and review of the literature
- PMID: 19178695
- PMCID: PMC2649053
- DOI: 10.1186/1757-1626-2-98
Hughes-Stovin syndrome: a case report and review of the literature
Abstract
Background: Hughes-Stovin syndrome is a rare entity. The aetiology of Hughes-Stovin syndrome is still unknown and the natural course of the illness is usually fatal; however it is supposed to be a clinical variant manifestation of Behçet disease.
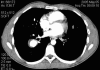
Case presentation: We report the case of an 18 years old, greek male patient with Hughes-Stovin syndrome, who initially presented with deep vein thrombosis. There were no findings consistent with Behçet disease and the haemoptysis was treated successfully with methylprednisolone. Pathogenesis, imaging investigation and treatment of this syndrome are also briefly discussed.
Conclusion: In young men presenting with venous thrombosis as revealed on imaging examination, with platelet count and coagulation tests within normal and hemoptysis the eventuality of Hughes-Stovin syndrome is to be considered.
Figures



References
LinkOut - more resources
Full Text Sources