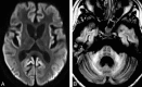
"Hot cross bun" sign in variant Creutzfeldt-Jakob disease
- PMID: 19279286
- PMCID: PMC7051468
- DOI: 10.3174/ajnr.A1335
"Hot cross bun" sign in variant Creutzfeldt-Jakob disease
Figures

References
-
- Bürk K, Skalej M, Dichgans J. Pontine MRI hyperintensities (“the cross sign”) are not pathognomonic for multiple system atrophy (MSA). Mov Disord 2001;16:535. - PubMed
-
- Machado A, Soares H, Antunes H, et al. Variant Creutzfeldt-Jakob [corrected] disease: the second case in Portugal and in the same geographical region [published erratum appears in J Neurol Neurosurg Psychiatry 2008;79:614]. J Neurol Neurosurg Psychiatry 2008;79:180–82 - PubMed
-
- Ironside JW, Head MW, McCardle L, et al. Neuropathology of variant Creutzfeldt-Jakob disease. Acta Neurobiol Exp (Wars). 2002;62:175–82 - PubMed
Publication types
MeSH terms
LinkOut - more resources
Full Text Sources
Medical