Host genetic background strongly influences the response to influenza a virus infections
- PMID: 19293935
- PMCID: PMC2654507
- DOI: 10.1371/journal.pone.0004857
Host genetic background strongly influences the response to influenza a virus infections
Abstract
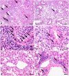
The genetic make-up of the host has a major influence on its response to combat pathogens. For influenza A virus, several single gene mutations have been described which contribute to survival, the immune response and clearance of the pathogen by the host organism. Here, we have studied the influence of the genetic background to influenza A H1N1 (PR8) and H7N7 (SC35M) viruses. The seven inbred laboratory strains of mice analyzed exhibited different weight loss kinetics and survival rates after infection with PR8. Two strains in particular, DBA/2J and A/J, showed very high susceptibility to viral infections compared to all other strains. The LD(50) to the influenza virus PR8 in DBA/2J mice was more than 1000-fold lower than in C57BL/6J mice. High susceptibility in DBA/2J mice was also observed after infection with influenza strain SC35M. In addition, infected DBA/2J mice showed a higher viral load in their lungs, elevated expression of cytokines and chemokines, and a more severe and extended lung pathology compared to infected C57BL/6J mice. These findings indicate a major contribution of the genetic background of the host to influenza A virus infections. The overall response in highly susceptible DBA/2J mice resembled the pathology described for infections with the highly virulent influenza H1N1-1918 and newly emerged H5N1 viruses.
Conflict of interest statement
Figures
References
-
- Johnson NP, Mueller J. Updating the accounts: global mortality of the 1918–1920 “Spanish” influenza pandemic. Bull Hist Med. 2002;76:105–115. - PubMed
-
- Rajagopal S, Treanor J. Pandemic (avian) influenza. Semin Respir Crit Care Med. 2007;28:159–170. - PubMed
-
- Fauci AS. Seasonal and pandemic influenza preparedness: science and countermeasures. J Infect Dis. 2006;194(Suppl 2):S73–76. - PubMed
-
- La Gruta NL, Kedzierska K, Stambas J, Doherty PC. A question of self-preservation: immunopathology in influenza virus infection. Immunol Cell Biol. 2007;85:85–92. - PubMed
Publication types
MeSH terms
Substances
LinkOut - more resources
Full Text Sources
Molecular Biology Databases
Research Materials
