Epilepsy surgery outcomes in temporal lobe epilepsy with a normal MRI
- PMID: 19389144
- PMCID: PMC2841514
- DOI: 10.1111/j.1528-1167.2009.02079.x
Epilepsy surgery outcomes in temporal lobe epilepsy with a normal MRI
Abstract
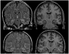
Purpose: To determine the long-term efficacy of anterior temporal lobectomy for medically refractory temporal lobe epilepsy in patients with nonlesional magnetic resonance imaging (MRI).
Methods: We identified a retrospective cohort of 44 patients with a nonlesional modern "seizure protocol" MRI who underwent anterior temporal lobectomy for treatment of medically refractory partial epilepsy. Postoperative seizure freedom was determined by Kaplan-Meyer survival analysis. Noninvasive preoperative diagnostic factors potentially associated with excellent surgical outcome were examined by univariate analysis in the 40 patients with follow-up of >1 year.
Results: Engel class I outcomes (free of disabling seizures) were observed in 60% (24 of 40) patients. Preoperative factors associated with Engel class I outcome were: (1) absence of contralateral or extratemporal interictal epileptiform discharges, (2) subtraction ictal single photon emission computed tomography (SPECT) Coregistered to MRI (SISCOM) abnormality localized to the resection site, and (3) subtle nonspecific MRI findings in the mesial temporal lobe concordant to the resection.
Discussion: In carefully selected patients with temporal lobe epilepsy and a nonlesional MRI, anterior temporal lobectomy can often render patients free of disabling seizures. This favorable rate of surgical success is likely due to the detection of concordant abnormalities that indicate unilateral temporal lobe epilepsy in patients with nonlesional MRI.
Conflict of interest statement
Disclosure: The authors have nothing to disclose.
Figures


References
-
- Altman DG. Practical statistics for medical research. Chapman and Hall; London England: 1991.
-
- Berkovic SF, McIntosh AM, Kalnins RM, Jackson GD, Fabinyi GC, Brazenor GA, Bladin PF, Hopper JL. Preoperative MRI predicts outcome of temporal lobectomy: an actuarial analysis. Neurology. 1995;45:1358–1363. - PubMed
-
- Briellmann RS, Wellard RM, Jackson GD. Seizure-associated Abnormalities in Epilepsy: Evidence from MR Imaging. Epilepsia. 2005;46:760–766. - PubMed
-
- Carne RP, O'Brien TJ, Kilpatrick CJ, MacGregor LR, Hicks RJ, Murphy MA, Bowden SC, Kaye AH, Cook MJ. MRI-negative PET-positive temporal lobe epilepsy: a distinct surgically remediable syndrome. Brain. 2004;127(Pt10):2276–2285. - PubMed
-
- Cascino GD. Surgical treatment for epilepsy. Epilepsy Res. 2004;60:179–186. - PubMed
Publication types
MeSH terms
Substances
Grants and funding
LinkOut - more resources
Full Text Sources
Other Literature Sources
Medical