The blood-brain barrier is intact after levodopa-induced dyskinesias in parkinsonian primates--evidence from in vivo neuroimaging studies
- PMID: 19501164
- PMCID: PMC3319396
- DOI: 10.1016/j.nbd.2009.05.018
The blood-brain barrier is intact after levodopa-induced dyskinesias in parkinsonian primates--evidence from in vivo neuroimaging studies
Abstract
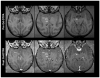
It has been suggested, based on rodent studies, that levodopa (L-dopa) induced dyskinesia is associated with a disrupted blood-brain barrier (BBB). We have investigated BBB integrity with in vivo neuroimaging techniques in six 1-methyl-4-phenyl-1,2,3,6-tetrahydropyridine (MPTP) lesioned primates exhibiting L-dopa-induced dyskinesia. Magnetic resonance imaging (MRI) performed before and after injection of Gadolinium-diethylenetriamine pentaacetic acid (Gd-DTPA) revealed an intact BBB in the basal ganglia showing that l-dopa-induced dyskinesia is not associated with a disrupted BBB in this model.
Conflict of interest statement
The authors declare no financial conflict of interest.
Figures


References
-
- Beaumont A, et al. The permissive nature of blood brain barrier (BBB) opening in edema formation following traumatic brain injury. Acta Neurochir Suppl. 2000;76:125–9. - PubMed
-
- Bezard E, et al. Attenuation of levodopa-induced dyskinesia by normalizing dopamine D3 receptor function. Nat Med. 2003;9:762–767. - PubMed
-
- Brownell AL, et al. Combined PET/MRS brain studies show dynamic and long-term physiological changes in a primate model of Parkinson disease. Nat Med. 1998;4:1308–12. - PubMed
-
- Carvey PM, et al. 6-Hydroxydopamine-induced alterations in blood-brain barrier permeability. Eur J Neurosci. 2005;22:1158–68. - PubMed
-
- Fahn S. Description of Parkinson’s disease as a clinical syndrome. Ann N Y Acad Sci. 2003;991:1–14. - PubMed
Publication types
MeSH terms
Substances
Grants and funding
LinkOut - more resources
Full Text Sources