Differential diagnosis of jugular foramen lesions
- PMID: 19568338
- PMCID: PMC2637573
- DOI: 10.1055/s-0028-1103121
Differential diagnosis of jugular foramen lesions
Abstract
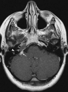
The anatomy of the jugular foramen is complex. It contains the lower cranial nerves and major vascular structures. Tumors that develop within it, or extend into it, provide significant diagnostic and surgical challenges. In this article, we describe the anatomy of the jugular foramen and outline an imaging protocol that can differentiate between lesions, thereby aiding diagnosis and facilitating management.
Keywords: Jugular foramen; computed tomography; magnetic resonance imaging; skull base.
Figures










References
-
- Tekdemir I, Tuccar E, Aslan A, et al. The jugular foramen: a comparative radioanatomic study. Surg Neurol. 1998;50:557–562. - PubMed
-
- Lang J, Schreiber T. Über form und lage des foramen jugular (fossa jugularis), des canalis caroticus und des foramen stylomastoideum sowie deren postnatale lageveränderungen. HNO. 1983;31:80–87. - PubMed
-
- Ayeni S A, Ohata K, Tanaka K, Hakuba A. The microsurgical anatomy of jugular foramen. J Neurosurg. 1995;83:903–909. - PubMed
-
- Shapiro R. Compartmentation of the jugular foramen. J Neurosurg. 1972;36:340–343. - PubMed