The kuru infectious agent is a unique geographic isolate distinct from Creutzfeldt-Jakob disease and scrapie agents
- PMID: 19633190
- PMCID: PMC2715327
- DOI: 10.1073/pnas.0905825106
The kuru infectious agent is a unique geographic isolate distinct from Creutzfeldt-Jakob disease and scrapie agents
Abstract
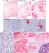
Human sporadic Creutzfeldt-Jakob disease (sCJD), endemic sheep scrapie, and epidemic bovine spongiform encephalopathy (BSE) are caused by a related group of infectious agents. The new U.K. BSE agent spread to many species, including humans, and clarifying the origin, specificity, virulence, and diversity of these agents is critical, particularly because infected humans do not develop disease for many years. As with viruses, transmissible spongiform encephalopathy (TSE) agents can adapt to new species and become more virulent yet maintain fundamentally unique and stable identities. To make agent differences manifest, one must keep the host genotype constant. Many TSE agents have revealed their independent identities in normal mice. We transmitted primate kuru, a TSE once epidemic in New Guinea, to mice expressing normal and approximately 8-fold higher levels of murine prion protein (PrP). High levels of murine PrP did not prevent infection but instead shortened incubation time, as would be expected for a viral receptor. Sporadic CJD and BSE agents and representative scrapie agents were clearly different from kuru in incubation time, brain neuropathology, and lymphoreticular involvement. Many TSE agents can infect monotypic cultured GT1 cells, and unlike sporadic CJD isolates, kuru rapidly and stably infected these cells. The geographic independence of the kuru agent provides additional reasons to explore causal environmental pathogens in these infectious neurodegenerative diseases.
Conflict of interest statement
The authors declare no conflict of interest.
Figures



References
-
- Gajdusek DC. Unconventional viruses and the origin and disappearance of kuru. Science. 1977;197:943–960. - PubMed
-
- Hadlow WJ. Scrapie and kuru. Lancet. 1959;274:289–290.
-
- Sigurdsson B. Rida: A chronic encephalitis of sheep. With general remarks on infections which develop slowly and some of their characteristics. Br Vet J. 1954;110:341–354.
-
- Hunter N, Cairns D. Scrapie-free Merino and Poll Dorset sheep from Australia and New Zealand have normal frequencies of scrapie-susceptible PrP genotypes. J Gen Virol. 1998;79:2079–2082. - PubMed
Publication types
MeSH terms
Substances
Grants and funding
LinkOut - more resources
Full Text Sources
Medical
Molecular Biology Databases
Research Materials