Up-regulation of CC chemokine receptor 6 on tonsillar T cells and its induction by in vitro stimulation with alpha-streptococci in patients with pustulosis palmaris et plantaris
- PMID: 19659772
- PMCID: PMC2710594
- DOI: 10.1111/j.1365-2249.2009.03945.x
Up-regulation of CC chemokine receptor 6 on tonsillar T cells and its induction by in vitro stimulation with alpha-streptococci in patients with pustulosis palmaris et plantaris
Abstract
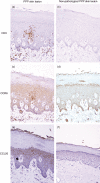
Pustulosis palmaris et plantaris (PPP) is a tonsil-related disease; tonsillectomy is somewhat effective in treating the condition. However, the aetiological association between the tonsils and PPP has not yet been elucidated fully. Recently, some chemokines and chemokine receptors, including CC chemokine receptor (CCR) 4, CCR6 and CX chemokine receptor (CXCR) 3, have been reported to play important roles in the development of psoriasis, a disease related closely to PPP. In this study, we found that CCR6 expression on both tonsillar and peripheral blood T cells was up-regulated more intensively in PPP patients than in non-PPP patients (P < 0.001 for both), but CCR4 and CXCR3 expressions were not. In vitro stimulation with alpha-streptococcal antigen enhanced CCR6 expression significantly on tonsillar T cells in PPP patients (P < 0.05), but this was not observed in non-PPP patients. The chemotactic response of tonsillar T cells to the CCR6 ligand CC chemokine ligand (CCL) 20 was significantly higher in PPP patients than in non-PPP patients (P < 0.05). The percentage of CCR6-positive peripheral blood T cells decreased after tonsillectomy in PPP patients (P < 0.01); this decrease correlated with an improvement of skin lesions (P < 0.05, r = -0.63). The numbers of CCR6-positive cells and the expression of CCL20 were increased significantly in pathological lesions compared with non-pathological lesions in PPP skin (P < 0.01, P < 0.05 respectively). These results suggest that a novel immune response to alpha-streptococci may enhance CCR6 expression on T cells in tonsils and that CCR6-positive T cells may move to peripheral blood circulation, resulting in recruitment to target skin lesions expressing CCL20 in PPP patients. This may be one of the key roles in pathogenesis of the tonsil-related disease PPP.
Figures
References
-
- Andrews GC, Machacek GF. Recalcitrant pustular eruptions of the palms and soles. Arch Dermatol. 1934;29:548–62.
-
- Hellgren L, Mobacken H. Pustulosis palmaris et plantaris. Prevalence, clinical observations and prognosis. Acta Derm Venereol. 1971;51:284–8. - PubMed
-
- Kataura A, Tsubota H. Clinical analyses of focus tonsil and related diseases in Japan. Acta Otolaryngol. 1996;(Suppl 523):161–4. - PubMed
-
- Ono T. Evaluation of tonsillectomy as a treatment for pustulosis palmaris et plantaris. J Dermatol. 1977;4:163–72. - PubMed
-
- Yamanaka N, Shido F, Kataura A. Tonsillectomy-induced changes in anti-keratin antibodies in patients with pustulosis palmaris et plantaris: a clinical correlation. Arch Otorhinolaryngol. 1989;246:109–12. - PubMed
MeSH terms
Substances
LinkOut - more resources
Full Text Sources
Other Literature Sources
Medical
