Skip to main page content
U.S. flag

An official website of the United States government

Dot gov

The .gov means it’s official.
Federal government websites often end in .gov or .mil. Before sharing sensitive information, make sure you’re on a federal government site.

Https

The site is secure.
The https:// ensures that you are connecting to the official website and that any information you provide is encrypted and transmitted securely.

Access keys NCBI Homepage MyNCBI Homepage Main Content Main Navigation
Case Reports
. 2009 Nov;30(10):E148-9.
doi: 10.3174/ajnr.A1812. Epub 2009 Aug 6.

Isolated intracranial Rosai-Dorfman disease in a child

Case Reports

Isolated intracranial Rosai-Dorfman disease in a child

M P Lungren et al. AJNR Am J Neuroradiol. 2009 Nov.
No abstract available

PubMed Disclaimer

Figures

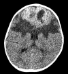
Fig 1.
Fig 1.
Noncontrast CT, axial image, reveals a large predominantly hyperattenuating parafalcine mass with central low attenuation, extending to the frontal convexity, exhibiting mass effect and associated vasogenic edema.
Fig 2.
Fig 2.
Axial T1- (left) and T2-weighted (right) images demonstrate a large heterogeneous extra-axial perafalcine mass extending to the frontal convexity, exhibiting mass effect on the medial frontal lobes and corpus callosum, with considerable associated frontal lobe vasogenic edema. The mass has T2-weighted hypointense components.
Fig 3.
Fig 3.
Axial (left) and coronal (right) T1-weighted postcontrast images. The mass enhances heterogeneously after contrast administration and demonstrates multiple cystic areas both within and adjacent to it.

References

    1. Foucar E, Rosai J, Dorfman RF. Sinus histiocytosis with massive lymphadenopathy (Rosai-Dorfman disease): review of the entity. Semin Diagn Pathol 1990;7:19–73 - PubMed
    1. Griffiths SJ, Tang W, Parameswaran R, et al. Isolated intracranial Rosai-Dorfman disease mimicking meningioma in a child. Br J Neurosurg 2004;18:293–97 - PubMed
    1. Labarge DV, Salzman KL, Harnsberger HR, et al. Sinus histiocytosis with massive lymphadenopathy (Rosai-Dorfman disease): imaging manifestations in the head and neck. AJR Am J Roentgenol 2008;191:W299–306 - PubMed
    1. Pulsoni A, Anghel G, Falcucci P, et al. Treatment of sinus histiocytosis with massive lymphadenopathy (Rosai-Dorfman disease): report of a case and literature review. Am J Hematol 2002:69:67–71 - PubMed