Current tissue engineering and novel therapeutic approaches to axonal regeneration following spinal cord injury using polymer scaffolds
- PMID: 19737633
- PMCID: PMC2981799
- DOI: 10.1016/j.resp.2009.08.015
Current tissue engineering and novel therapeutic approaches to axonal regeneration following spinal cord injury using polymer scaffolds
Abstract
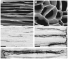
This review highlights current tissue engineering and novel therapeutic approaches to axonal regeneration following spinal cord injury. The concept of developing 3-dimensional polymer scaffolds for placement into a spinal cord transection model has recently been more extensively explored as a solution for restoring neurologic function after injury. Given the patient morbidity associated with respiratory compromise, the discrete tracts in the spinal cord conveying innervation for breathing represent an important and achievable therapeutic target. The aim is to derive new neuronal tissue from the surrounding, healthy cord that will be guided by the polymer implant through the injured area to make functional reconnections. A variety of naturally derived and synthetic biomaterial polymers have been developed for placement in the injured spinal cord. Axonal growth is supported by inherent properties of the selected polymer, the architecture of the scaffold, permissive microstructures such as pores, grooves or polymer fibres, and surface modifications to provide improved adherence and growth directionality. Structural support of axonal regeneration is combined with integrated polymeric and cellular delivery systems for therapeutic drugs and for neurotrophic molecules to regionalize growth of specific nerve populations.
Figures










References
-
- Adams DN, Kao EY, Hypolite CL, Distefano MD, Hu WS, Letourneau PC. Growth cones turn and migrate up an immobilized gradient of the laminin IKVAV peptide. J Neurobiol. 2005;62:134–147. - PubMed
-
- Balgude AP, Yu X, Szymanski A, Bellamkonda RV. Agarose gel stiffness determines rate of DRG neurite extension in 3D cultures. Biomaterials. 2001;22:1077–1084. - PubMed
-
- Bamber NI, Li H, Lu X, Oudega M, Aebischer P, Xu XM. Neurotrophins BDNF and NT-3 promote axonal re-entry into the distal host spinal cord through Schwann cell-seeded mini-channels. Eur J Neurosci. 2001;13:257–268. - PubMed
-
- Bellamkonda R. Peripheral nerve regeneration: an opinion on channels, scaffolds and anisotropy. Biomaterials. 2006;27:3515–3518. - PubMed
-
- Bellamkonda R, Ranieri JP, Bouche N, Aebischer P. Hydrogel-based three-dimensional matrix for neural cells. J Biomed Mater Res. 1995;29:663–671. - PubMed
Publication types
MeSH terms
Substances
Grants and funding
LinkOut - more resources
Full Text Sources
Other Literature Sources
Medical