Bilateral renal and jejunal metastasis of choriocarcinoma presenting as spontaneous renal hemorrhage
- PMID: 19770094
- PMCID: PMC2760937
- DOI: 10.1102/1470-7330.2009.0010
Bilateral renal and jejunal metastasis of choriocarcinoma presenting as spontaneous renal hemorrhage
Abstract
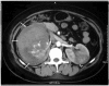
Spontaneous renal hemorrhage (SRH) is a difficult diagnostic problem with various causes. We report a case of SRH and episodic gross hematuria in a patient with metastatic choriocarcinoma involving both kidneys for which successful angioembolization was carried out for control of hemorrhage. There was no evidence of primary uterine tumor and pulmonary or liver involvement. The patient developed gastrointestinal bleeding due to jejunal metastasis while on chemotherapy and surgical resection of the involved segment was carried. However, the patient acquired nosocomial pneumonia and succumbed to sepsis in the postoperative period.
Figures




References
-
- Chakrabarti J, Mishra PK, Mondal P, Ghosh D. Metastatic choriocarcinoma presenting as a renal mass. Indian J Med Paediatr Oncol. 2006;27:47–8.
-
- Li MC. Trophoblastic disease: natural history, diagnosis, and treatment. Ann Intern Med. 1971;74:102–12. - PubMed
-
- Thanikasalam K. Post hysterectomy choriocarcinoma with pulmonary and renal metastasis. Med J Malasia. 1991;46:187–91. - PubMed
-
- Vijay RKP, Kaduthodil MJ, Bottomley JR, Abdi S. Metastatic gestational trophoblastic tumour presenting as spontaneous subcapsular renal haematoma. Br J Radiol. 2008;81:e234–7. doi:10.1259/bjr/81495647. PMid:18769012. - DOI - PubMed
-
- Tai KS, Chan FL, Ngan HY. Renal metastasis from choriocarcinoma: MRI appearance. Abdom Imaging. 1998;23:536–8. doi:10.1007/s002619900395. PMid:9841071. - DOI - PubMed
Publication types
MeSH terms
LinkOut - more resources
Full Text Sources
Medical