Detection of protease-resistant cervid prion protein in water from a CWD-endemic area
- PMID: 19823039
- PMCID: PMC2802782
- DOI: 10.4161/pri.3.3.9819
Detection of protease-resistant cervid prion protein in water from a CWD-endemic area
Abstract
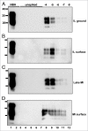
Chronic wasting disease (CWD) is the only known transmissible spongiform encephalopathy affecting free-ranging wildlife. Although the exact mode of natural transmission remains unknown, substantial evidence suggests that prions can persist in the environment, implicating components thereof as potential prion reservoirs and transmission vehicles.(1-4) CWD-positive animals may contribute to environmental prion load via decomposing carcasses and biological materials including saliva, blood, urine and feces.(5-7) Sensitivity limitations of conventional assays hamper evaluation of environmental prion loads in soil and water. Here we show the ability of serial protein misfolding cyclic amplification (sPMCA) to amplify a 1.3 x 10(-7) dilution of CWD-infected brain homogenate spiked into water samples, equivalent to approximately 5 x 10(7) protease resistant cervid prion protein (PrP(CWD)) monomers. We also detected PrP(CWD) in one of two environmental water samples from a CWD endemic area collected at a time of increased water runoff from melting winter snow pack, as well as in water samples obtained concurrently from the flocculation stage of water processing by the municipal water treatment facility. Bioassays indicated that the PrP(CWD) detected was below infectious levels. These data demonstrate detection of very low levels of PrP(CWD) in the environment by sPMCA and suggest persistence and accumulation of prions in the environment that may promote CWD transmission.
Figures







References
-
- Mathiason CK, Powers JG, Dahmes SJ, Osborn DA, Miller KV, Warren RJ, et al. Infectious prions in the saliva and blood of deer with chronic wasting disease. Science. 2006;314:133–136. - PubMed
MeSH terms
Substances
LinkOut - more resources
Full Text Sources
Research Materials