Metastatic follicular thyroid carcinoma to the mandible: a case report
- PMID: 19829820
- PMCID: PMC2709969
- DOI: 10.1186/1757-1626-2-6533
Metastatic follicular thyroid carcinoma to the mandible: a case report
Abstract
Introduction: Metastatic lesions to the oro-facial region may be the first evidence of dissemination of an unknown tumour from its primary site.
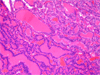
Case presentation: We described a case of metastatic follicular thyroid carcinoma to the mandible presenting with pain and loosening of teeth in a 70 years old female patient leading to extraction of the loose teeth.
Conclusion: The present case emphasizes the importance of considering metastasis in the differential diagnosis of swelling related to loosening of teeth, even though the patient had no history of any malignant disease.
Figures



References
-
- Gilliland FD, Hunt WC, Morris DM, Key CR. Prognostic factors for thyroid carcinoma: A population-based study of 15, 698 cases from the Surveillance, Epidemiology and End Results (SEER) program 1973-1991. Cancer. 1997;79:564–573. doi: 10.1002/(SICI)1097-0142(19970201)79:3<564::AID-CNCR20>3.0.CO;2-0. - DOI - PubMed
-
- Tatic S. Histopathological and immunohistochemical features of thyroid carcinoma. Archive of Oncology. 2003;11:173–174. doi: 10.2298/AOO0303173T. - DOI
LinkOut - more resources
Full Text Sources