Renal cell carcinoma metastasis to the ovary: a case report
- PMID: 19829972
- PMCID: PMC2740276
- DOI: 10.4076/1757-1626-2-7472
Renal cell carcinoma metastasis to the ovary: a case report
Abstract
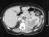
A 54-year-old woman referred to a specialist unit for weight loss, lethargy, and a palpable pelvic mass. Thought to have ovarian cancer metastasized to the kidney, underwent a left nephrectomy and para-aortic clearance, with a total abdominal hysterectomy and bilateral salpingo-oophorectomy with peritoneal biopsies. Histology proved it was actually a renal cell carcinoma metastasized to the ovaries. During further follow ups she had developed bone and pulmonary metastasis and died shortly after the diagnosis of metastasis. With only 14 reported cases in the literature increased awareness would aid management of similar cases.
Figures




References
-
- Fowler C. The Kidneys and Ureters. In: Russel R, Williams N, Bulstrode C, editors. Short Practice of Surgery. 24. New York: Hodder Arnold; 2004. pp. 1330–1332.
-
- Vorder Bruegge CF, Hobbs JE, Wegner CR, Wintenute RW. Bilateral ovarian metastasis from renal adenocarcinoma: report of a case and discussion of pathogenesis. Obstet Gynecol. 1957;9:198–205. - PubMed
Publication types
LinkOut - more resources
Full Text Sources