Burned-out testicular tumor with retroperitoneal lymph node metastasis: a case report
- PMID: 19830238
- PMCID: PMC2737757
- DOI: 10.4076/1752-1947-3-8705
Burned-out testicular tumor with retroperitoneal lymph node metastasis: a case report
Abstract
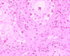
Introduction: A burned-out seminoma of the testis is an exceptionally rare clinical entity, with few reports found in the literature.
Case presentation: A case of burned-out tumor of the testis in a 31-year-old man is reported. The tumor presented as a retroperitoneal mass with histological characteristic of a seminoma. The testes on clinical examination were normal, and a suspicious lesion in the scrotum was only identified after ultrasound. Incision of the abdominal mass was decided, followed by orchectomy. Histological examination of the testis revealed a suspicious lesion with characteristics of spontaneous regression of germ cell tumors.
Conclusion: We describe one of very few cases worldwide, where spontaneous regression of a primary testicular tumor occurred after demonstration of retroperitoneal lymph node metastasis, a phenomenon known as burned-out seminoma, which is hard to recognize and incompletely characterized by physicians.
Figures





References
-
- Casella R, Rochlitz C, Sauter G, Gasser TC. "Burned out" testicular tumor: a rare form of germ cell neoplasia. Schweiz Med Wochenschr. 1999;129:235–240. - PubMed
LinkOut - more resources
Full Text Sources