Skip to main page content
U.S. flag

An official website of the United States government

Dot gov

The .gov means it’s official.
Federal government websites often end in .gov or .mil. Before sharing sensitive information, make sure you’re on a federal government site.

Https

The site is secure.
The https:// ensures that you are connecting to the official website and that any information you provide is encrypted and transmitted securely.

Access keys NCBI Homepage MyNCBI Homepage Main Content Main Navigation
Randomized Controlled Trial
. 2009 Aug;80(4):478-85.
doi: 10.3109/17453670903171875.

Open reduction and internal fixation compared to closed reduction and external fixation in distal radial fractures: a randomized study of 50 patients

Affiliations
Randomized Controlled Trial

Open reduction and internal fixation compared to closed reduction and external fixation in distal radial fractures: a randomized study of 50 patients

Antonio Abramo et al. Acta Orthop. 2009 Aug.

Abstract

Background and purpose: In unstable distal radial fractures that are impossible to reduce or to maintain in reduced position, the treatment of choice is operation. The type of operation and the choice of implant, however, is a matter of discussion. Our aim was to investigate whether open reduction and internal fixation would produce a better result than traditional external fixation.

Methods: 50 patients with an unstable or comminute distal radius fracture were randomized to either closed reduction and bridging external fixation, or open reduction and internal fixation using the TriMed system. The primary outcome parameter was grip strength, but the patients were followed for 1 year with objective clinical assessment, subjective outcome using DASH, and radiographic examination.

Results: At 1 year postoperatively, grip strength was 90% (SD 16) of the uninjured side in the internal fixation group and 78% (17) in the external fixation group. Pronation/supination was 150 degrees (15) in the internal fixation group and 136 degrees (20) in the external fixation group at 1 year. There were no differences in DASH scores or in radiographic parameters. 5 patients in the external fixation group were reoperated due to malunion, as compared to 1 in the internal fixation group. 7 other cases were classified as radiographic malunion: 5 in the external fixation group and 2 in the internal fixation group.

Interpretation: Internal fixation gave better grip strength and a better range of motion at 1 year, and tended to have less malunions than external fixation. No difference could be found regarding subjective outcome.

PubMed Disclaimer

Figures

Figure 1.
Figure 1.
AP and lateral radiographs in two cases of distal radial fracture operated with the TriMed system. A. This patient was operated using a radial pin-plate and a volar buttress pin. Additional stability was achieved using Norian SRS bone substitute. B. In intraarticular fractures with an ulnar fragment, an ulnar pin-plate could be combined with the radial pin-plate.
Figure 2.
Figure 2.
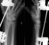
AP and lateral radiographs of a patient operated using closed reduction and external fixation.
Figure 3.
Figure 3.
Objective and subjective outcome during the follow-up at 5 and 7 weeks and at 3, 6, and 12 months postoperatively showing range of motion (ROM) in extension/flexion (A), ROM in forearm rotation (B), ROM in radial/ulnar deviation (C), grip strength as a percentage of the opposite side (D), and DASH score (E). Lines represent mean range of motion (degrees) for grip strength (percentage of the opposite side) and DASH score. Error bars represent the 95% confidence interval of the difference between groups.

References

    1. Abramo A, Kopylov P, Tägil M. Evaluation of a treatment protocol in distal radius fractures. A prospective study in 581 patients using DASH as outcome. Acta Orthop. 2008;79(3):376–85. - PubMed
    1. Anderson JT, Lucas GL, Buhr BR. Complications of treating distal radius fractures with external fixation: a community experience. Iowa Orthop J. 2004;24:53–9. - PMC - PubMed
    1. Atroshi I, Gummesson C, Andersson B, Dahlgren E, Johansson A. The disabilities of the arm, shoulder and hand (DASH) outcome questionnaire: reliability and validity of the Swedish version evaluated in 176 patients. Acta Orthop Scand. 2000;71(6):613–8. - PubMed
    1. Atroshi I, Brogren E, Larsson GU, Kloow J, Hofer M, Berggren AM. Wrist-bridging versus non-bridging external fixation for displaced distal radius fractures: a randomized assessor-blind clinical trial of 38 patients followed for 1 year. Acta Orthop. 2006;77(3):445–53. - PubMed
    1. Benson LS, Minihane KP, Stern LD, Eller E, Seshadri R. The outcome of intra-articular distal radius fractures treated with fragment-specific fixation. J Hand Surg (Am) 2006;31(8):1333–9. - PubMed

Publication types

LinkOut - more resources