Nosocomial outbreak of novel arenavirus infection, southern Africa
- PMID: 19861052
- PMCID: PMC2866397
- DOI: 10.3201/eid1510.090211
Nosocomial outbreak of novel arenavirus infection, southern Africa
Abstract
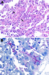
A nosocomial outbreak of disease involving 5 patients, 4 of whom died, occurred in South Africa during September-October 2008. The first patient had been transferred from Zambia to South Africa for medical management. Three cases involved secondary spread of infection from the first patient, and 1 was a tertiary infection. A novel arenavirus was identified. The source of the first patient's infection remains undetermined.
Figures



References
Publication types
MeSH terms
Substances
LinkOut - more resources
Full Text Sources
Medical