A premature infant with fetal myocardial and abdominal calcifications and factor V Leiden homozygosity
- PMID: 19861970
- PMCID: PMC4241858
- DOI: 10.1038/jp.2009.62
A premature infant with fetal myocardial and abdominal calcifications and factor V Leiden homozygosity
Abstract
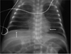
We present a premature male neonate with confirmed factor V Leiden deficiency diagnosed prenatally with cardiac and abdominal calcifications. Our patient's findings suggest that clinicians consider thromboembolic conditions when multiple fetal calcifications are visualized.
Conflict of interest statement
Conflict of interest
The authors declare no conflict of interest.
Figures


References
-
- Ridker, et al. Ethnic distribution of factor V Leiden in 4047 men and women. Implications for venous thromboembolism screening. JAMA. 1997;255:1305. - PubMed
-
- Van Ommen CH, Heijboer H, Buller HR, et al. Venous thromboembolism in childhood: A prospective two-year registry in the Netherlands. J Pediatr. 2001;139(5):676–681. - PubMed
-
- Raju TNK, Nelson KB, Ferriero D, Lynch JK. Ischemic Perinatal Stroke: Summary of a Workshop Sponsored by the National Institute of Child Health and Human Development and the National Institute of Neurological Disorders and Stroke. Pediatrics. 2007 Sep;120(3):609–616. - PubMed
-
- Spampinato MV, et al. Thrombosed Fetal Dural Sinus Malformation Diagnosed with Magnetic Resonance Imaging. Obstet and Gynecol. 2008;111:569–572. - PubMed
Publication types
MeSH terms
Substances
Grants and funding
LinkOut - more resources
Full Text Sources
Medical